Bản tin y tế - PlasmaKare https://plasmakare.vn/ban-tin-y-te/ Tiên phong nano bạc và chất sát trùng thế hệ mới cho da - niêm mạc Wed, 25 Feb 2026 01:16:43 +0000 vi hourly 1 https://plasmakare.vn/wp-content/uploads/2020/04/cropped-logo-plasmacare-500x300.png Bản tin y tế - PlasmaKare https://plasmakare.vn/ban-tin-y-te/ 32 32 Lấy cao răng có lâu không? Sau khi lấy cao răng bao lâu thì được ăn? https://plasmakare.vn/sau-khi-lay-cao-rang-bao-lau-thi-duoc-an-18698/ https://plasmakare.vn/sau-khi-lay-cao-rang-bao-lau-thi-duoc-an-18698/#respond Wed, 25 Feb 2026 01:16:43 +0000 https://plasmakare.vn/?p=18698 Bài viết Lấy cao răng có lâu không? Sau khi lấy cao răng bao lâu thì được ăn? đã xuất hiện đầu tiên vào ngày PlasmaKare.

Lấy cao răng là thủ thuật nha khoa đơn giản, thường được khuyến nghị thực hiện định kỳ 3–6 tháng/lần. Tuy nhiên, nhiều người vẫn băn khoăn lấy cao răng có lâu không, có ảnh hưởng đến công việc hay sinh hoạt trong ngày không. Bên cạnh đó, câu hỏi được quan tâm nhiều nhất […]

Bài viết Lấy cao răng có lâu không? Sau khi lấy cao răng bao lâu thì được ăn? đã xuất hiện đầu tiên vào ngày PlasmaKare.

]]>
Bài viết Lấy cao răng có lâu không? Sau khi lấy cao răng bao lâu thì được ăn? đã xuất hiện đầu tiên vào ngày PlasmaKare.

Lấy cao răng là thủ thuật nha khoa đơn giản, thường được khuyến nghị thực hiện định kỳ 3–6 tháng/lần. Tuy nhiên, nhiều người vẫn băn khoăn lấy cao răng có lâu không, có ảnh hưởng đến công việc hay sinh hoạt trong ngày không.

Bên cạnh đó, câu hỏi được quan tâm nhiều nhất là sau khi lấy cao răng bao lâu thì được ăn, có cần kiêng gì đặc biệt hay không? Bài viết dưới đây sẽ giải đáp chi tiết để bạn yên tâm hơn trước khi thực hiện.

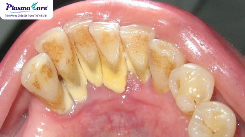
Lấy cao răng có tác dụng gì?

Lấy cao răng là thủ thuật nha khoa giúp loại bỏ các mảng bám đã vôi hóa và cặn thức ăn tích tụ lâu ngày trên bề mặt răng, kẽ răng hoặc dưới viền nướu – những vị trí bàn chải khó làm sạch hoàn toàn.

Việc làm sạch này giúp giảm lượng vi khuẩn trong khoang miệng, từ đó hạn chế nguy cơ mắc các bệnh lý như viêm nướu, viêm nha chu, sâu răng và hôi miệng. Đồng thời, răng sau khi được làm sạch sẽ sáng hơn, cảm giác nhẹ và sạch miệng rõ rệt.

Duy trì lấy cao răng định kỳ không chỉ cải thiện thẩm mỹ mà còn góp phần bảo vệ sức khỏe răng miệng lâu dài.

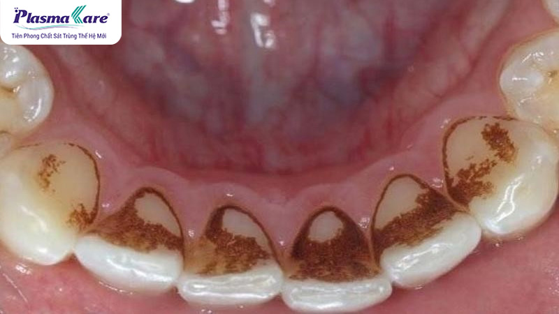
Lấy cao răng có lâu không? Sau khi lấy cao răng bao lâu thì được ăn?
Lấy cao răng là thủ thuật nha khoa giúp loại bỏ các mảng bám đã vôi hóa.

Lấy cao răng có lâu không?

Lấy cao răng là thủ thuật khá nhanh, không mất nhiều thời gian như nhiều người lo lắng. Trung bình, một lần lấy cao răng thường kéo dài khoảng 15 – 30 phút cho cả hai hàm.

Thời gian cụ thể phụ thuộc vào:

  • Mức độ cao răng nhiều hay ít
  • Có cao răng dưới nướu hay không
  • Tình trạng viêm nướu kèm theo
  • Có thực hiện thêm bước đánh bóng răng sau khi cạo vôi hay không

Nếu cao răng ở mức độ nhẹ, quá trình có thể chỉ mất khoảng 15–20 phút. Trường hợp cao răng dày, bám sâu dưới nướu thì thời gian có thể kéo dài hơn một chút để đảm bảo làm sạch kỹ lưỡng.

Nhìn chung, đây là thủ thuật đơn giản, bạn có thể thực hiện và sinh hoạt bình thường ngay trong ngày.

Sau khi lấy cao răng bao lâu thì được ăn?

Thông thường, bạn có thể ăn uống gần như ngay sau khi hoàn tất thủ thuật. Lấy cao răng không tác động sâu vào cấu trúc men răng hay mô nướu nên không ảnh hưởng đến chức năng nhai.

Tuy nhiên, trong vài giờ đầu, nếu cảm thấy hơi ê buốt nhẹ, bạn nên:

  • Tránh thức ăn quá nóng hoặc quá lạnh
  • Hạn chế đồ cứng, quá dai
  • Tránh cà phê, trà đậm màu trong ngày đầu để hạn chế ố màu

Nếu không có gây tê hoặc xử lý viêm nướu kèm theo, bạn hoàn toàn có thể sinh hoạt và ăn uống bình thường trong ngày.

Lấy cao răng có lâu không? Sau khi lấy cao răng bao lâu thì được ăn?
Thông thường, bạn có thể ăn uống gần như ngay sau khi hoàn tất thủ thuật.

Chế độ ăn uống sau khi lấy cao răng

Sau khi lấy cao răng, bác sĩ thường hướng dẫn bạn điều chỉnh chế độ ăn để hạn chế ê buốt và bảo vệ men răng. Dù có thể ăn uống lại sớm, bạn vẫn nên lưu ý một số điểm sau:

Những thực phẩm nên hạn chế

  • Đồ quá nóng, quá lạnh hoặc quá cay: Dễ gây ê buốt do răng còn nhạy cảm tạm thời.
  • Thực phẩm nhiều đường, tinh bột như bánh kẹo, socola, nước ngọt có gas: Tạo điều kiện cho vi khuẩn phát triển.
  • Thực phẩm có tính axit như cam, chanh, giấm: Có thể kích thích men răng đang nhạy cảm.
  • Đồ ăn, thức uống sẫm màu như cà phê, trà đậm, nước tương: Dễ làm răng xỉn màu trở lại.
  • Thuốc lá: Làm răng nhanh ố vàng và tăng nguy cơ viêm nướu.

Ngoài ra, không nên tẩy trắng răng ngay sau khi vừa lấy cao răng vì men răng chưa ổn định. Nếu có nhu cầu, bạn nên tham khảo ý kiến bác sĩ và chờ đủ thời gian phù hợp.

Vệ sinh răng miệng sau khi lấy cao răng

Để duy trì hiệu quả sau khi làm sạch vôi răng, bạn nên:

  • Chải răng 2 lần/ngày (sáng và tối) bằng bàn chải lông mềm.
  • Đánh răng nhẹ nhàng, mỗi lần khoảng 2 phút, tránh chà xát mạnh.
  • Kết hợp chỉ nha khoa, nước súc miệng hoặc máy tăm nước để làm sạch kẽ răng.
  • Khám răng định kỳ 3–6 tháng/lần để kiểm tra và lấy cao răng khi cần.
  • Bên cạnh đó, hãy bổ sung thực phẩm giàu canxi và sử dụng sản phẩm chăm sóc răng miệng có chứa fluoride để giúp răng chắc khỏe hơn.

Việc lấy cao răng nên được thực hiện tại cơ sở nha khoa uy tín, bởi bác sĩ có chuyên môn và trang thiết bị đảm bảo vô trùng để tránh biến chứng không mong muốn.

Lấy cao răng có lâu không? Sau khi lấy cao răng bao lâu thì được ăn?
Chải răng 2 lần/ngày (sáng và tối) bằng bàn chải lông mềm.

Lấy cao răng là thủ thuật đơn giản, thực hiện nhanh và không ảnh hưởng nhiều đến sinh hoạt hằng ngày. Sau khi lấy cao răng, bạn có thể ăn uống lại sớm, nhưng nên lựa chọn thực phẩm phù hợp trong vài giờ đầu để hạn chế ê buốt và bảo vệ men răng.

Để duy trì hiệu quả lâu dài, hãy chăm sóc răng miệng đúng cách và thăm khám định kỳ 3–6 tháng/lần. Chủ động vệ sinh và kiểm tra thường xuyên sẽ giúp răng luôn sạch khỏe, hạn chế cao răng tái phát.

Bài viết Lấy cao răng có lâu không? Sau khi lấy cao răng bao lâu thì được ăn? đã xuất hiện đầu tiên vào ngày PlasmaKare.

]]>
https://plasmakare.vn/sau-khi-lay-cao-rang-bao-lau-thi-duoc-an-18698/feed/ 0
Cao răng tự rơi ra có tốt không? Nguyên nhân và 1 số lưu ý https://plasmakare.vn/cao-rang-tu-roi-ra-co-tot-khong-18696/ https://plasmakare.vn/cao-rang-tu-roi-ra-co-tot-khong-18696/#respond Wed, 25 Feb 2026 01:08:38 +0000 https://plasmakare.vn/?p=18696 Bài viết Cao răng tự rơi ra có tốt không? Nguyên nhân và 1 số lưu ý đã xuất hiện đầu tiên vào ngày PlasmaKare.

Nhiều người bất ngờ khi thấy cao răng tự rơi ra trong lúc ăn uống hoặc đánh răng. Có người cho rằng đây là dấu hiệu tốt vì răng “tự làm sạch”, nhưng cũng không ít trường hợp lo lắng vì kèm theo chảy máu hoặc ê buốt. Vậy cao răng tự rơi ra có […]

Bài viết Cao răng tự rơi ra có tốt không? Nguyên nhân và 1 số lưu ý đã xuất hiện đầu tiên vào ngày PlasmaKare.

]]>
Bài viết Cao răng tự rơi ra có tốt không? Nguyên nhân và 1 số lưu ý đã xuất hiện đầu tiên vào ngày PlasmaKare.

Nhiều người bất ngờ khi thấy cao răng tự rơi ra trong lúc ăn uống hoặc đánh răng. Có người cho rằng đây là dấu hiệu tốt vì răng “tự làm sạch”, nhưng cũng không ít trường hợp lo lắng vì kèm theo chảy máu hoặc ê buốt.

Vậy cao răng tự rơi ra có tốt không? Hiện tượng này xuất phát từ nguyên nhân nào và có cần đi khám không? Cùng tìm hiểu rõ hơn trong nội dung dưới đây để tránh chủ quan với sức khỏe răng miệng.

Tình trạng cao răng tự vỡ

Cao răng hình thành từ mảng bám thức ăn không được làm sạch kỹ. Ở giai đoạn đầu, lớp mảng bám này còn mềm và khó nhận thấy. Theo thời gian, chúng kết hợp với muối khoáng trong nước bọt, bị vôi hóa và trở nên cứng chắc, bám chặt vào cổ răng và viền nướu.

Khi cao răng tích tụ lâu ngày, việc vệ sinh răng miệng trở nên khó khăn hơn. Đây cũng là nguyên nhân phổ biến gây hôi miệng do vi khuẩn sinh sôi và phân hủy thức ăn còn sót lại. Các vi khuẩn này tạo ra axit làm tổn thương men răng, từ đó tăng nguy cơ sâu răng và nhiều bệnh lý khác.

Ngoài ra, cao răng chứa nhiều vi khuẩn gây hại có thể dẫn đến viêm nướu, viêm nha chu, viêm tủy ngược dòng hoặc thậm chí ảnh hưởng đến vùng họng như viêm amidan nếu tình trạng kéo dài.

Hiện tượng cao răng tự vỡ hoặc tự bong không phải hiếm gặp. Điều này xảy ra khi lớp cao răng tích tụ dày, tạo thành mảng lớn và tách khỏi bề mặt răng. Tình trạng này thường thấy ở người lớn tuổi hoặc những người có sức khỏe răng miệng suy giảm, nướu yếu và độ bám dính của răng không còn chắc chắn như trước.

Cao răng tự rơi ra có tốt không? Nguyên nhân và 1 số lưu ý
Hiện tượng cao răng tự vỡ hoặc tự bong không phải hiếm gặp.

Cao răng tự rơi ra có tốt không?

Trong một số trường hợp, khi cao răng tự rơi ra, bạn có thể cảm thấy răng sạch và nhẹ hơn do một phần mảng cứng đã được loại bỏ. Việc bong mảng vôi răng lớn có thể giúp giảm bớt vi khuẩn tích tụ tạm thời trong khoang miệng.

Những lợi ích có thể nhận thấy gồm:

  • Giảm tình trạng ố vàng do lớp vôi răng bám dày ở cổ răng
  • Hạn chế mùi hôi miệng do mảng bám tích tụ lâu ngày
  • Giảm nguy cơ viêm nướu, chảy máu chân răng nếu mảng bám được loại bỏ một phần

Tuy nhiên, không nên xem đây là dấu hiệu tích cực hoàn toàn. Cao răng tự bong có thể liên quan đến tình trạng nướu tụt, viêm nha chu hoặc răng yếu làm giảm độ bám dính. Ngoài ra, các mảnh vỡ có thể còn sót lại trong khoang miệng, gây cộm, chọc vào nướu hoặc dẫn đến sưng viêm nếu không được làm sạch kỹ.

Vì vậy, khi thấy cao răng tự rơi ra, bạn nên súc miệng sạch và theo dõi tình trạng nướu. Tốt nhất nên đến nha khoa để kiểm tra và làm sạch chuyên sâu, tránh bỏ sót cao răng dưới nướu hoặc các vấn đề tiềm ẩn khác.

Cao răng tự rơi ra có tốt không? Nguyên nhân và 1 số lưu ý
Khi thấy cao răng tự rơi ra, bạn nên súc miệng sạch và theo dõi tình trạng nướu.

Nguyên nhân khiến cao răng tự vỡ

Cao răng được cấu tạo chủ yếu từ canxi carbonat và phosphate nên có độ cứng cao và bám khá chắc vào bề mặt răng. Vì vậy, thông thường chúng không dễ bong ra. Tuy nhiên, trong một số trường hợp, cao răng vẫn có thể tự vỡ do các tác động bên ngoài hoặc tình trạng răng miệng suy yếu.

  • Tác động lực mạnh khi ăn nhai: Khi cắn phải thực phẩm quá cứng như kẹo cứng, xương, hạt… răng phải chịu áp lực lớn. Lực tác động này có thể làm lớp cao răng dày bị nứt hoặc bong ra từng mảng.
  • Tác động cơ học không đúng cách: Những thói quen như xỉa răng mạnh, dùng bàn chải lông cứng hoặc chải răng quá mạnh tay có thể làm cao răng bị sứt, vỡ từng phần. Tuy nhiên, các hành động này cũng dễ gây tổn thương nướu và men răng.
  • Nướu tụt hoặc viêm nha chu: Khi nướu bị tụt hoặc mô nâng đỡ răng suy yếu, độ bám dính của cao răng cũng giảm theo. Lúc này, chỉ cần tác động nhẹ cũng có thể khiến cao răng tự bong.

Dù nguyên nhân là gì, hiện tượng cao răng tự vỡ vẫn là dấu hiệu bạn nên kiểm tra lại sức khỏe răng miệng để tránh những vấn đề tiềm ẩn phía sau.

Những điều cần lưu ý sau khi cao răng tự vỡ hoặc được loại bỏ

Nhiều người có xu hướng áp dụng các mẹo dân gian tại nhà để làm sạch cao răng. Tuy nhiên, những phương pháp này chưa được kiểm chứng đầy đủ về độ an toàn và hiệu quả, thậm chí có thể làm tổn thương men răng và nướu. Vì vậy, thay vì tự xử lý, bạn nên đến nha khoa để được làm sạch đúng kỹ thuật và kiểm tra tình trạng răng miệng toàn diện.

Sau khi cao răng đã bong hoặc được lấy sạch, bạn cần lưu ý:

  • Tránh thực phẩm quá nóng hoặc quá lạnh: Răng có thể nhạy cảm hơn sau khi lớp cao răng bị loại bỏ. Hạn chế ăn uống đồ quá nóng hoặc quá lạnh để tránh ê buốt.
  • Hạn chế thuốc lá và đồ uống sẫm màu: Không nên hút thuốc lá, uống cà phê hoặc trà đậm ngay sau khi lấy cao răng vì dễ làm răng xỉn màu và tăng nguy cơ tái bám mảng bám.
  • Giảm thực phẩm nhiều đường: Đường là yếu tố thúc đẩy vi khuẩn phát triển và hình thành mảng bám mới. Hạn chế đồ ngọt sẽ giúp kiểm soát cao răng tốt hơn.
  • Duy trì vệ sinh răng miệng đúng cách: Chải răng đều đặn 2–3 lần/ngày, kết hợp nước súc miệng, chỉ nha khoa hoặc máy tăm nước để làm sạch hiệu quả các kẽ răng.
  • Khám nha khoa định kỳ: Nên kiểm tra răng miệng khoảng 6 tháng/lần để kịp thời phát hiện và xử lý các vấn đề như viêm nướu, tụt lợi hoặc cao răng tái phát.

Chăm sóc đúng cách sau khi cao răng tự rơi ra sẽ giúp bảo vệ men răng và duy trì sức khỏe răng miệng lâu dài.

Cao răng tự rơi ra có tốt không? Nguyên nhân và 1 số lưu ý
Nên kiểm tra răng miệng khoảng 6 tháng/lần để kịp thời phát hiện và xử lý các vấn đề như viêm nướu, tụt lợi.

Hiện tượng cao răng tự rơi ra không hẳn là dấu hiệu tốt hoàn toàn. Dù có thể giúp loại bỏ tạm thời một phần mảng bám cứng, nhưng đây cũng có thể là cảnh báo về tình trạng nướu yếu, tụt lợi hoặc viêm nha chu.

Thay vì chủ quan, bạn nên theo dõi các dấu hiệu bất thường như chảy máu, ê buốt hay răng lung lay và thăm khám nha khoa khi cần thiết. Chăm sóc răng miệng đúng cách và lấy cao răng định kỳ vẫn là giải pháp an toàn, hiệu quả nhất để bảo vệ hàm răng lâu dài.

 

Bài viết Cao răng tự rơi ra có tốt không? Nguyên nhân và 1 số lưu ý đã xuất hiện đầu tiên vào ngày PlasmaKare.

]]>
https://plasmakare.vn/cao-rang-tu-roi-ra-co-tot-khong-18696/feed/ 0
7 loại nước súc miệng tẩy cao răng an toàn và tốt nhất https://plasmakare.vn/nuoc-suc-mieng-tay-cao-rang-18694/ https://plasmakare.vn/nuoc-suc-mieng-tay-cao-rang-18694/#respond Wed, 25 Feb 2026 00:51:45 +0000 https://plasmakare.vn/?p=18694 Bài viết 7 loại nước súc miệng tẩy cao răng an toàn và tốt nhất đã xuất hiện đầu tiên vào ngày PlasmaKare.

Cao răng và mảng bám là nguyên nhân phổ biến gây hôi miệng, viêm nướu và khiến răng xỉn màu theo thời gian. Bên cạnh việc đánh răng, nhiều người tìm đến nước súc miệng tẩy cao răng với mong muốn hỗ trợ làm sạch sâu và kiểm soát vi khuẩn tốt hơn. Tuy nhiên, […]

Bài viết 7 loại nước súc miệng tẩy cao răng an toàn và tốt nhất đã xuất hiện đầu tiên vào ngày PlasmaKare.

]]>
Bài viết 7 loại nước súc miệng tẩy cao răng an toàn và tốt nhất đã xuất hiện đầu tiên vào ngày PlasmaKare.

Cao răng và mảng bám là nguyên nhân phổ biến gây hôi miệng, viêm nướu và khiến răng xỉn màu theo thời gian. Bên cạnh việc đánh răng, nhiều người tìm đến nước súc miệng tẩy cao răng với mong muốn hỗ trợ làm sạch sâu và kiểm soát vi khuẩn tốt hơn.

Tuy nhiên, nước súc miệng có thực sự loại bỏ được cao răng hay chỉ giúp ngăn ngừa mảng bám hình thành? Bài viết dưới đây sẽ giúp bạn hiểu rõ công dụng thực tế và gợi ý những sản phẩm an toàn, đáng cân nhắc hiện nay.

Nước súc miệng là gì?

Nước súc miệng là dung dịch hỗ trợ vệ sinh răng miệng, được sử dụng sau khi đánh răng nhằm làm sạch khoang miệng và giảm vi khuẩn gây hại. Sản phẩm này ngày càng phổ biến nhờ khả năng hỗ trợ khử mùi hôi miệng và mang lại cảm giác thơm mát tức thì.

Thành phần của nước súc miệng thường chứa hoạt chất kháng khuẩn như menthol, fluoride, CPC hoặc các chiết xuất thảo dược. Những hoạt chất này giúp làm sạch kẽ răng, hỗ trợ kiểm soát mảng bám và hạn chế vi khuẩn phát triển.

Hiện nay, nước súc miệng không chỉ đơn thuần là dung dịch tạo mùi thơm. Khi sử dụng đúng cách, sản phẩm còn giúp hỗ trợ phòng ngừa viêm nướu, sâu răng và cải thiện tình trạng mảng bám – yếu tố dẫn đến hình thành cao răng.

7 loại nước súc miệng tẩy cao răng an toàn và tốt nhất
Nước súc miệng là dung dịch hỗ trợ vệ sinh răng miệng.

Tiêu chí chọn nước súc miệng tẩy cao răng

Không phải sản phẩm nào cũng phù hợp với mọi tình trạng răng miệng. Khi chọn nước súc miệng hỗ trợ làm sạch cao răng, bạn nên lưu ý các tiêu chí sau:

  • Có thành phần kháng khuẩn hiệu quả: Ưu tiên sản phẩm chứa các hoạt chất như CPC (Cetylpyridinium Chloride) hoặc Chlorhexidine (dùng ngắn hạn theo hướng dẫn). Những thành phần này giúp kiểm soát vi khuẩn gây mảng bám – yếu tố hình thành cao răng.
  • Có Fluoride bảo vệ men răng: Fluoride giúp tái khoáng men răng và giảm nguy cơ mảng bám kết tinh thành cao răng. Đây là thành phần quan trọng nếu bạn muốn chăm sóc răng toàn diện.
  • Không chứa cồn (đối với răng nhạy cảm): Nước súc miệng chứa cồn có thể gây khô miệng, kích ứng nướu. Nếu bạn có răng nhạy cảm hoặc dễ viêm lợi, nên chọn loại không cồn để sử dụng lâu dài.
  • Hỗ trợ giảm viêm nướu và hôi miệng: Sản phẩm nên có thêm thành phần làm dịu nướu, kiểm soát mùi hôi để duy trì khoang miệng sạch khỏe mỗi ngày.
  • Thương hiệu uy tín, nguồn gốc rõ ràng: Nên chọn sản phẩm từ thương hiệu có kiểm định chất lượng, công bố thành phần minh bạch để đảm bảo an toàn khi sử dụng thường xuyên.

7 loại nước súc miệng tẩy cao răng hiệu quả

Listerine Tartar Protection

Listerine Tartar Protection là dòng nước súc miệng chuyên hỗ trợ kiểm soát mảng bám và hạn chế hình thành cao răng. Sản phẩm được nhiều người tin dùng nhờ khả năng làm sạch khoang miệng và giảm hôi miệng nhanh chóng.

Thành phần nổi bật

  • Water, Sorbitol, Alcohol, Benzoic Acid, Poloxamer 407…

Công dụng chính

  • Hỗ trợ ngăn ngừa cao răng
  • Giảm hôi miệng, sâu răng, viêm nướu
  • Diệt vi khuẩn gây mùi trong khoang miệng

Giá tham khảo: khoảng 74.000 VNĐ/250ml

7 loại nước súc miệng tẩy cao răng an toàn và tốt nhất
Listerine Tartar Protection

Propolinse Pure

Propolinse Pure là nước súc miệng đến từ Nhật Bản, nổi bật với chiết xuất trà xanh và keo ong. Sản phẩm giúp làm sạch mảng bám thức ăn và mang lại cảm giác the mát dễ chịu.

Thành phần nổi bật

  • Chiết xuất lá trà xanh, keo ong, Xylitol, Menthol, Glycerin…

Công dụng chính

  • Hỗ trợ làm sạch mảng bám
  • Giảm nguy cơ viêm lợi, sâu răng
  • Hỗ trợ cải thiện hơi thở có mùi

Giá tham khảo: khoảng 235.000 VNĐ/600ml

AP24 Anti-Plaque Mouthwash

AP24 là dòng nước súc miệng hỗ trợ kiểm soát mảng bám và phòng ngừa sâu răng nhờ Fluoride. Sản phẩm giúp duy trì răng sáng và khoang miệng sạch khuẩn.

Thành phần nổi bật

  • Sodium Fluoride, Poloxamer 407, Glycerin, Sodium Phosphate…

Công dụng chính

  • Hạn chế hình thành mảng bám và cao răng
  • Hỗ trợ phòng chống sâu răng
  • Làm sạch vi khuẩn trong khoang miệng

Giá tham khảo: khoảng 290.000 VNĐ

7 loại nước súc miệng tẩy cao răng an toàn và tốt nhất
AP24 Anti-Plaque Mouthwash

Perio-Aid Active Control

Perio-Aid Active Control là sản phẩm chuyên sâu hỗ trợ kiểm soát mảng bám và viêm nướu. Dòng này thường được khuyên dùng trong các trường hợp cần tăng cường kháng khuẩn.

Thành phần nổi bật

  • Chlorhexidine Digluconate 0.05%
  • Cetylpyridinium Chloride 0.05%

Công dụng chính

  • Kiểm soát mảng bám
  • Hỗ trợ giảm viêm nha chu, viêm nướu
  • Hạn chế hình thành cao răng

Giá tham khảo: 125.000 – 280.000 VNĐ

Dentiplus Whitening & Anti-Tartar

Dentiplus Whitening & Anti-Tartar được phát triển với công thức hỗ trợ làm sạch mảng bám và cải thiện độ sáng răng.

Thành phần nổi bật

  • Sodium Fluoride 0.05% (225ppmF), Pentasodium Triphosphate, Glycerin…

Công dụng chính

  • Hỗ trợ làm sạch mảng bám
  • Giúp răng sáng hơn
  • Giảm ê buốt và sâu răng

Giá tham khảo: khoảng 89.000 VNĐ

7 loại nước súc miệng tẩy cao răng an toàn và tốt nhất
Dentiplus Whitening & Anti-Tartar

Crest 3D White Mouthwash

Crest 3D White là dòng nước súc miệng kết hợp làm trắng và kiểm soát mảng bám. Sản phẩm phù hợp với người thường xuyên uống cà phê hoặc hút thuốc.

Thành phần nổi bật

  • Hydrogen Peroxide, Sodium Hexametaphosphate, Poloxamer 407…

Công dụng chính

  • Hỗ trợ làm trắng răng
  • Giảm mảng bám bề mặt
  • Giữ hơi thở thơm mát lâu

Giá tham khảo: 250.000 – 300.000 VNĐ

Nước súc miệng P/S

P/S là thương hiệu phổ biến tại Việt Nam, thuộc Unilever. Sản phẩm giúp làm sạch khoang miệng và hỗ trợ kiểm soát mảng bám hiệu quả.

Thành phần nổi bật

  • Fluoride, hoạt chất kháng khuẩn chuyên dụng

Công dụng chính

  • Hỗ trợ làm sạch mảng bám
  • Giảm hôi miệng
  • Giúp răng sáng và nướu khỏe
7 loại nước súc miệng tẩy cao răng an toàn và tốt nhất
Nước súc miệng P/S

Nước súc miệng là sản phẩm hỗ trợ chăm sóc răng miệng hiệu quả, giúp làm sạch khoang miệng, giảm vi khuẩn và hạn chế hình thành mảng bám. Tuy nhiên, sản phẩm này chỉ đóng vai trò hỗ trợ, không thể thay thế việc lấy cao răng tại nha khoa khi vôi răng đã hình thành cứng chắc.

Để bảo vệ răng miệng toàn diện, bạn nên kết hợp đánh răng đúng cách, dùng chỉ nha khoa và thăm khám định kỳ. Duy trì thói quen chăm sóc khoa học sẽ giúp hạn chế cao răng và giữ hơi thở luôn thơm mát mỗi ngày.

Bài viết 7 loại nước súc miệng tẩy cao răng an toàn và tốt nhất đã xuất hiện đầu tiên vào ngày PlasmaKare.

]]>
https://plasmakare.vn/nuoc-suc-mieng-tay-cao-rang-18694/feed/ 0
TOP 8 kem đánh răng tẩy cao răng hiệu quả tốt nhất 2026 https://plasmakare.vn/kem-danh-rang-tay-cao-rang-18692/ https://plasmakare.vn/kem-danh-rang-tay-cao-rang-18692/#respond Wed, 25 Feb 2026 00:40:02 +0000 https://plasmakare.vn/?p=18692 Bài viết TOP 8 kem đánh răng tẩy cao răng hiệu quả tốt nhất 2026 đã xuất hiện đầu tiên vào ngày PlasmaKare.

Cao răng là nguyên nhân phổ biến gây hôi miệng, viêm nướu và làm răng xỉn màu theo thời gian. Vì vậy, nhiều người tìm đến các dòng kem đánh răng tẩy cao răng với mong muốn cải thiện tình trạng mảng bám ngay tại nhà. Tuy nhiên, liệu kem đánh răng có thực sự […]

Bài viết TOP 8 kem đánh răng tẩy cao răng hiệu quả tốt nhất 2026 đã xuất hiện đầu tiên vào ngày PlasmaKare.

]]>
Bài viết TOP 8 kem đánh răng tẩy cao răng hiệu quả tốt nhất 2026 đã xuất hiện đầu tiên vào ngày PlasmaKare.

Cao răng là nguyên nhân phổ biến gây hôi miệng, viêm nướu và làm răng xỉn màu theo thời gian. Vì vậy, nhiều người tìm đến các dòng kem đánh răng tẩy cao răng với mong muốn cải thiện tình trạng mảng bám ngay tại nhà.

Tuy nhiên, liệu kem đánh răng có thực sự loại bỏ được vôi răng hay chỉ hỗ trợ làm sạch bề mặt? Trong bài viết này, chúng tôi sẽ tổng hợp những sản phẩm nổi bật năm 2026 cùng các tiêu chí lựa chọn phù hợp để giúp bạn chăm sóc răng miệng hiệu quả hơn.

Kem đánh răng có tẩy cao răng được không?

Câu trả lời là không. Kem đánh răng không thể loại bỏ hoàn toàn cao răng đã khoáng hóa cứng chắc và bám chặt trên răng. Tương tự, nước súc miệng cũng không có khả năng làm bong cao răng lâu năm. Các sản phẩm này chủ yếu giúp làm sạch mảng bám mềm và hỗ trợ ngăn ngừa cao răng hình thành thêm.

Cao răng chỉ có thể được loại bỏ triệt để bằng phương pháp cạo vôi răng tại nha khoa với dụng cụ chuyên dụng.

TOP 8 kem đánh răng tẩy cao răng hiệu quả tốt nhất 2026
Kem đánh răng không thể loại bỏ hoàn toàn cao răng đã khoáng hóa cứng chắc và bám chặt trên răng.

Vì sao nhiều loại kem vẫn được quảng cáo “tẩy cao răng”?

Trên thị trường, nhiều sản phẩm được giới thiệu có khả năng làm sạch cao răng nhờ chứa các thành phần hỗ trợ kiểm soát mảng bám và vi khuẩn. Tuy nhiên, chúng chỉ giúp ngăn ngừa và hạn chế hình thành cao răng mới, không thể làm sạch lớp cao răng đã cứng chắc.

Một số thành phần phổ biến gồm:

  • Fluoride (Flo): Giúp tái khoáng hóa men răng, ngăn ngừa sâu răng và giảm khả năng mảng bám kết tinh thành cao răng.
  • Pyrophosphate: Làm chậm quá trình khoáng hóa mảng bám, hạn chế cao răng hình thành.
  • Xylitol, trà xanh, kẽm citrate, axit citric: Ức chế vi khuẩn gây mảng bám, duy trì môi trường khoang miệng cân bằng.
  • Chất mài mòn nhẹ (silica, nhôm hydroxit, canxi cacbonat, baking soda): Hỗ trợ loại bỏ mảng bám mềm trên bề mặt răng và giúp răng sáng hơn.
  • Chất tạo bọt và làm sạch (SLS, SLES): Hòa tan cặn thức ăn, hỗ trợ làm sạch khoang miệng.
  • Potassium nitrate, strontium chloride: Giảm ê buốt cho răng nhạy cảm.
  • Chiết xuất thảo dược (bạc hà, tinh dầu tràm trà…): Hỗ trợ kháng khuẩn, giảm viêm nướu và hạn chế hôi miệng.

Tổng hợp kem đánh răng tẩy cao răng hiệu quả

Kem đánh răng dược liệu Thái Dương

Kem đánh răng dược liệu Thái Dương là sản phẩm nổi bật của Sao Thái Dương, được nghiên cứu theo hướng kết hợp thảo dược thiên nhiên và hoạt chất kháng khuẩn hiện đại. Sản phẩm phù hợp với nhiều đối tượng, đặc biệt là người có răng nhạy cảm, dễ viêm lợi hoặc chảy máu chân răng.

Thành phần chính

  • Lá lược vàng
  • Tinh dầu bạc hà tạo cảm giác the mát, sảng khoái
  • Tinh dầu quế hỗ trợ khử khuẩn
  • Nano bạc giúp kháng khuẩn, chống viêm
  • Hạt cau

Công dụng nổi bật

  • Hỗ trợ làm sạch mảng bám, hạn chế hình thành cao răng
  • Giảm ê buốt, hỗ trợ cải thiện viêm lợi và chảy máu chân răng
  • Giảm hôi miệng, duy trì hơi thở thơm mát

Giá tham khảo: khoảng 60.000 VNĐ/tuýp

TOP 8 kem đánh răng tẩy cao răng hiệu quả tốt nhất 2026
Kem đánh răng dược liệu Thái Dương.

Kem đánh răng P/S Than Hoạt Tính

Nếu bạn yêu thích sản phẩm nội địa với giá thành hợp lý và hiệu quả làm sạch tốt, P/S Than Hoạt Tính là lựa chọn đáng cân nhắc. Sản phẩm thuộc thương hiệu P/S, được nhiều người tin dùng trong phân khúc phổ thông.

Thành phần chính

Than hoạt tính, fluoride, sorbitol, hydrated silica.

Công dụng chính

Làm sạch vết ố bề mặt răng, hỗ trợ loại bỏ mảng bám và duy trì hơi thở thơm mát.

Kem đánh răng KIN B5

KIN B5 là sản phẩm đến từ Laboratorios KIN S.A. – Tây Ban Nha. Đây là dòng kem đánh răng chuyên biệt giúp kiểm soát mảng bám và bảo vệ nướu toàn diện. Sản phẩm đặc biệt phù hợp với người niềng răng, người dễ viêm lợi hoặc thường xuyên chảy máu chân răng. Công thức kết hợp hoạt chất kháng khuẩn và vitamin hỗ trợ chăm sóc khoang miệng mỗi ngày.

Thành phần chính

  • Cetylpyridinium Chloride 0.05% (CPC)
  • Provitamin B5
  • Vitamin B3
  • Zinc Lactate 1% (kẽm)
  • Fluoride và các thành phần khác

Công dụng nổi bật

  • Hỗ trợ kiểm soát mảng bám và cao răng
  • Ngăn ngừa sâu răng, giúp răng chắc khỏe
  • Hạn chế vi khuẩn phát triển
  • Bảo vệ và tăng cường sức khỏe nướu
TOP 8 kem đánh răng tẩy cao răng hiệu quả tốt nhất 2026
Kem đánh răng KIN B5

Kem đánh răng Crest 3D White

Crest 3D White là dòng kem đánh răng làm trắng nổi tiếng của Crest (P&G Hoa Kỳ). Sản phẩm được ưa chuộng nhờ khả năng làm sạch mảng bám bề mặt và cải thiện độ trắng răng rõ rệt sau thời gian sử dụng. Phù hợp với người có răng xỉn màu do thực phẩm hoặc cà phê.

Thành phần chính

  • Fluoride
  • Silica và các chất đánh bóng nhẹ
  • Sodium lauryl sulfate

Công dụng nổi bật

  • Hỗ trợ làm trắng răng
  • Loại bỏ mảng bám và vết ố bề mặt
  • Ngăn ngừa sâu răng hiệu quả

Kem đánh răng Sensodyne Extra Whitening

Sensodyne Extra Whitening là dòng kem đánh răng dành cho răng nhạy cảm của Sensodyne. Sản phẩm vừa giúp làm trắng nhẹ nhàng vừa kiểm soát mảng bám mà không gây tổn thương men răng.

Thành phần chính

  • Potassium nitrate
  • Hydrated silica
  • Sodium fluoride

Công dụng nổi bật

  • Giảm ê buốt hiệu quả
  • Làm sạch mảng bám
  • Hỗ trợ kiểm soát cao răng
  • Bảo vệ men răng và nướu
TOP 8 kem đánh răng tẩy cao răng hiệu quả tốt nhất 2026
Kem đánh răng Sensodyne Extra Whitening.

Kem đánh răng Ajona

Ajona là kem đánh răng đến từ Đức, nổi bật với công thức đậm đặc và khả năng làm sạch sâu. Sản phẩm phù hợp với người cần kiểm soát mảng bám và viêm lợi.

Thành phần chính

  • Canxi cacbonat, phốt pho
  • Bisabolol, tinh dầu bạc hà, Thymol
  • Eucalyptol, Menthol

Công dụng nổi bật

  • Làm sạch sâu
  • Hỗ trợ kháng khuẩn
  • Ngăn ngừa mảng bám và cao răng
  • Cải thiện viêm nướu

Kem đánh răng Nuskin AP24 Whitening

Nuskin AP24 Whitening là dòng kem đánh răng cao cấp đến từ Nu Skin. Sản phẩm được biết đến với công nghệ AP24 giúp bề mặt răng mịn và sáng hơn.

Thành phần chính

  • Công nghệ AP24
  • Hydrated silica
  • Sodium monofluorophosphate

Công dụng nổi bật

  • Làm trắng răng
  • Ngăn ngừa mảng bám
  • Đánh bóng và làm mịn bề mặt răng
  • Phòng ngừa sâu răng
TOP 8 kem đánh răng tẩy cao răng hiệu quả tốt nhất 2026
Kem đánh răng Nuskin AP24 Whitening

Kem đánh răng Median Dental IQ 93%

Median Dental IQ 93% là sản phẩm của Median (thuộc Amore Pacific – Hàn Quốc). Dòng này được đánh giá cao nhờ giá thành hợp lý và khả năng làm sạch tốt.

Thành phần chính

  • Vitamin E
  • Silica
  • Fluoride

Công dụng nổi bật

  • Hỗ trợ giảm viêm nướu
  • Làm sạch mảng bám và vết ố
  • Ngăn ngừa sâu răng
  • Mang lại hơi thở thơm mát

Biện pháp phòng ngừa cao răng hiệu quả

Kem đánh răng hỗ trợ kiểm soát mảng bám và hạn chế ố vàng, nhưng không thể loại bỏ hoàn toàn cao răng đã hình thành. Vì vậy, để ngăn ngừa vôi răng xuất hiện và tái phát, bạn nên duy trì thói quen chăm sóc răng miệng đúng cách mỗi ngày.

  • Đánh răng đều đặn và đúng cách: Chải răng ít nhất 2–3 lần/ngày, mỗi lần khoảng 2 phút. Nên sử dụng bàn chải lông mềm và thao tác nhẹ nhàng theo chiều dọc hoặc xoay tròn để tránh làm tổn thương nướu và mòn men răng.
  • Sử dụng chỉ nha khoa và nước súc miệng: Chỉ nha khoa giúp làm sạch thức ăn và mảng bám ở kẽ răng – nơi bàn chải khó tiếp cận. Nước súc miệng chứa thành phần kháng khuẩn hỗ trợ giảm vi khuẩn gây mảng bám, từ đó hạn chế hình thành cao răng.
  • Hạn chế thực phẩm gây hại: Thực phẩm nhiều đường và tinh bột dễ thúc đẩy mảng bám phát triển. Thuốc lá, cà phê, nước ngọt có gas… không chỉ khiến răng ố vàng mà còn làm tăng nguy cơ tích tụ cao răng.
  • Khám nha khoa định kỳ: Lấy cao răng định kỳ 3–6 tháng/lần là cách hiệu quả nhất để loại bỏ cao răng đã khoáng hóa. Đồng thời, bác sĩ có thể phát hiện sớm các vấn đề như viêm nướu hay sâu răng để điều trị kịp thời.

Duy trì các thói quen trên sẽ giúp bạn kiểm soát mảng bám tốt hơn và bảo vệ răng miệng lâu dài.

Kem đánh răng tẩy cao răng có thể hỗ trợ làm sạch mảng bám và hạn chế vôi răng hình thành, nhưng không thể thay thế việc lấy cao răng tại nha khoa. Để duy trì hàm răng sạch khỏe, bạn nên kết hợp chải răng đúng cách, dùng chỉ nha khoa và khám răng định kỳ.

Chủ động chăm sóc răng miệng mỗi ngày chính là cách đơn giản và hiệu quả nhất để ngăn ngừa cao răng, giữ nụ cười luôn trắng sáng và tự tin.

Bài viết TOP 8 kem đánh răng tẩy cao răng hiệu quả tốt nhất 2026 đã xuất hiện đầu tiên vào ngày PlasmaKare.

]]>
https://plasmakare.vn/kem-danh-rang-tay-cao-rang-18692/feed/ 0
Cao răng màu đen là gì? Nguyên nhân và cách xử lý cao răng màu đen https://plasmakare.vn/cao-rang-mau-den-18690/ https://plasmakare.vn/cao-rang-mau-den-18690/#respond Wed, 25 Feb 2026 00:30:37 +0000 https://plasmakare.vn/?p=18690 Bài viết Cao răng màu đen là gì? Nguyên nhân và cách xử lý cao răng màu đen đã xuất hiện đầu tiên vào ngày PlasmaKare.

Bạn có thể từng nhận thấy ở viền nướu xuất hiện những mảng bám sẫm màu, thậm chí đen rõ ở cổ răng dù vẫn đánh răng hằng ngày. Đây thường là dấu hiệu của cao răng màu đen – tình trạng không chỉ ảnh hưởng thẩm mỹ mà còn tiềm ẩn nguy cơ viêm […]

Bài viết Cao răng màu đen là gì? Nguyên nhân và cách xử lý cao răng màu đen đã xuất hiện đầu tiên vào ngày PlasmaKare.

]]>
Bài viết Cao răng màu đen là gì? Nguyên nhân và cách xử lý cao răng màu đen đã xuất hiện đầu tiên vào ngày PlasmaKare.

Bạn có thể từng nhận thấy ở viền nướu xuất hiện những mảng bám sẫm màu, thậm chí đen rõ ở cổ răng dù vẫn đánh răng hằng ngày. Đây thường là dấu hiệu của cao răng màu đen – tình trạng không chỉ ảnh hưởng thẩm mỹ mà còn tiềm ẩn nguy cơ viêm nướu, hôi miệng.

Vậy cao răng bị đen hình thành do đâu? Có nguy hiểm không và xử lý bằng cách nào hiệu quả? Bài viết dưới đây sẽ giúp bạn hiểu rõ nguyên nhân cũng như giải pháp phù hợp để bảo vệ răng miệng lâu dài.

Cao răng màu đen là gì?

Cao răng (vôi răng) là những mảng bám cứng hình thành trên bề mặt răng do thức ăn thừa và vi khuẩn tích tụ lâu ngày. Khi mảng bám không được làm sạch kỹ, chúng sẽ bị khoáng hóa bởi các khoáng chất trong nước bọt và bám chặt vào răng. Lúc này, việc chải răng thông thường không thể loại bỏ mà cần đến dụng cụ nha khoa chuyên dụng.

Thông thường, cao răng có màu vàng hoặc nâu nhạt và bám ở cổ răng, viền nướu. Tuy nhiên, trong một số trường hợp, cao răng có màu đen hoặc sẫm màu rõ rệt. Tình trạng này có thể xuất hiện khi cao răng tồn tại lâu ngày, bám sâu dưới nướu hoặc liên quan đến viêm nướu, chảy máu chân răng.

Cao răng bị đen không chỉ gây mất thẩm mỹ mà còn tiềm ẩn nguy cơ bệnh lý răng miệng nếu không được xử lý kịp thời.

Cao răng màu đen là gì? Nguyên nhân và cách xử lý cao răng màu đen
Cao răng bị đen không chỉ gây mất thẩm mỹ mà còn tiềm ẩn nguy cơ bệnh lý răng miệng.

Nguyên nhân gây nên cao răng bị đen

Cao răng bị nhiễm máu

Khi mắc viêm nha chu hoặc chải răng quá mạnh gây chảy máu chân răng, cao răng có thể hấp thụ sắc tố từ máu. Ban đầu cao răng thường có màu vàng hoặc nâu nhạt, nhưng khi tiếp xúc với máu trong thời gian dài, chúng sẽ chuyển dần sang màu sẫm hoặc đen.

Đây có thể là dấu hiệu cảnh báo tình trạng viêm nướu đang tiến triển.

Do hút thuốc hoặc thực phẩm có màu

Các mảng bám trên răng rất dễ hấp thụ sắc tố từ thực phẩm và đồ uống. Nếu bạn thường xuyên hút thuốc lá, uống cà phê, trà đậm màu hoặc sử dụng thực phẩm có màu sẫm, cao răng có thể bị nhuộm màu theo thời gian.

Trong đó, thuốc lá là nguyên nhân phổ biến khiến cao răng chuyển sang màu đen nhanh chóng.

Đốm đen do sâu răng

Khi răng bị sâu, các đốm nhỏ màu nâu hoặc đen có thể xuất hiện trên bề mặt thân răng. Nếu không được điều trị sớm, vùng sâu sẽ lan rộng, khiến răng sẫm màu rõ rệt.

Trường hợp này cần phân biệt giữa cao răng màu đen và tổn thương do sâu răng để có hướng xử lý phù hợp.

Không lấy cao răng định kỳ

Khi mảng bám không được làm sạch thường xuyên, chúng sẽ khoáng hóa thành cao răng. Nếu cao răng tồn tại lâu ngày mà không được loại bỏ, chúng có thể bị oxy hóa hoặc hấp thụ thêm sắc tố, từ đó chuyển sang màu đen.

Việc lấy cao răng định kỳ 3–6 tháng/lần giúp hạn chế tình trạng này và bảo vệ sức khỏe răng miệng lâu dài.

Cao răng màu đen là gì? Nguyên nhân và cách xử lý cao răng màu đen
Nguyên nhân gây nên cao răng bị đen.

Các mối nguy hại tiềm ẩn do cao răng đen gây ra

Cao răng đen không chỉ ảnh hưởng đến thẩm mỹ mà còn tiềm ẩn nhiều nguy cơ cho sức khỏe răng miệng nếu không được xử lý kịp thời. Khi các mảng bám cứng tồn tại lâu ngày, vi khuẩn sẽ tiếp tục sinh sôi và gây ra nhiều biến chứng nghiêm trọng.

Nguy cơ tụt nướu, viêm lợi

Cao răng không thể tự bong ra mà ngày càng dày và bám chắc hơn vào cổ răng, đặc biệt là vùng dưới nướu. Nếu tình trạng này kéo dài:

  • Nướu dễ bị kích ứng, sưng đỏ
  • Chảy máu chân răng khi ăn nhai hoặc đánh răng
  • Hình thành viêm lợi kéo dài
  • Tụt nướu làm lộ chân răng

Tụt lợi không chỉ gây ê buốt mà còn làm giảm khả năng bảo vệ chân răng trước vi khuẩn.

Nguy cơ mất răng

Khi nướu và mô nâng đỡ răng bị tổn thương lâu ngày, chân răng sẽ dần suy yếu. Nếu không điều trị, răng có thể lung lay, thậm chí gãy rụng.

Mất răng do bệnh lý nha chu thường diễn ra âm thầm, đến khi phát hiện thì tình trạng đã khá nghiêm trọng.

Viêm nha chu

Cao răng đen là môi trường lý tưởng để vi khuẩn phát triển. Khi vi khuẩn xâm nhập sâu xuống dưới nướu, chúng có thể gây viêm nha chu – một bệnh lý nguy hiểm ảnh hưởng trực tiếp đến xương ổ răng.

Viêm nha chu tiến triển có thể dẫn đến tiêu xương, tụt lợi nghiêm trọng và mất răng hàng loạt nếu không được điều trị đúng cách.

Ảnh hưởng thẩm mỹ và sự tự tin

Mảng bám răng màu đen khiến nụ cười kém thẩm mỹ, đặc biệt khi xuất hiện ở vùng răng cửa. Bên cạnh đó, vi khuẩn tích tụ còn gây hôi miệng, khiến người mắc cảm thấy tự ti khi giao tiếp.

Một hàm răng sạch khỏe không chỉ giúp ăn nhai tốt mà còn góp phần duy trì sự tự tin trong cuộc sống hằng ngày.

Cao răng màu đen là gì? Nguyên nhân và cách xử lý cao răng màu đen
Cao răng đen là môi trường lý tưởng để vi khuẩn phát triển.

Cách điều trị cao răng màu đen

Cao răng màu đen đã khoáng hóa và bám chặt vào bề mặt răng nên không thể loại bỏ bằng cách chải răng thông thường. Việc xử lý cần được thực hiện tại cơ sở nha khoa.

Lấy cao răng tại nha khoa

Cách duy nhất để loại bỏ cao răng đen là lấy cao răng bằng dụng cụ chuyên dụng. Bác sĩ sẽ:

  • Làm sạch mảng bám trên bề mặt răng
  • Loại bỏ cao răng ở viền nướu và dưới nướu
  • Kiểm tra tình trạng viêm lợi, viêm nha chu nếu có
  • Quy trình này giúp loại bỏ vi khuẩn tích tụ và ngăn ngừa biến chứng về sau.

Đánh bóng răng sau khi làm sạch

Sau khi lấy cao răng, bác sĩ thường đánh bóng để làm bề mặt răng nhẵn hơn. Bề mặt gồ ghề dễ khiến vi khuẩn bám trở lại nhanh chóng, vì vậy bước này giúp hạn chế tái hình thành mảng bám và giữ răng sáng sạch lâu hơn.

Điều trị nếu nguyên nhân do sâu răng

Nếu các đốm đen xuất phát từ sâu răng, bác sĩ sẽ tiến hành điều trị bằng cách:

  • Loại bỏ phần mô răng bị sâu
  • Làm sạch vùng tổn thương
  • Hàn (trám) răng để phục hồi hình dạng và chức năng

Việc điều trị sớm giúp ngăn ngừa sâu răng lan rộng và bảo vệ cấu trúc răng thật.

Nên thực hiện điều trị tại cơ sở nha khoa uy tín để đảm bảo đúng kỹ thuật, an toàn và hạn chế biến chứng.

Cao răng màu đen là gì? Nguyên nhân và cách xử lý cao răng màu đen
Cách duy nhất để loại bỏ cao răng đen là lấy cao răng bằng dụng cụ chuyên dụng.

Biện pháp ngăn ngừa cao răng màu đen

Để hạn chế tình trạng tái phát, bạn nên:

  • Đánh răng ít nhất 2 lần/ngày, chải nhẹ nhàng đúng cách
  • Sử dụng chỉ nha khoa và nước súc miệng sau bữa ăn
  • Hạn chế thực phẩm, đồ uống có màu đậm, nhiều đường hoặc tính axit cao
  • Bỏ thuốc lá
  • Khám răng và lấy cao răng định kỳ 6 tháng/lần

Chăm sóc răng miệng đúng cách và duy trì thói quen kiểm tra định kỳ là chìa khóa giúp phòng ngừa cao răng màu đen hiệu quả lâu dài.

Cao răng màu đen không chỉ gây mất thẩm mỹ mà còn là dấu hiệu cảnh báo các vấn đề răng miệng tiềm ẩn như viêm lợi, viêm nha chu hay sâu răng. Nếu không xử lý kịp thời, tình trạng này có thể tiến triển nghiêm trọng và ảnh hưởng đến sức khỏe răng miệng lâu dài.

Việc thăm khám và lấy cao răng định kỳ tại cơ sở uy tín, kết hợp chăm sóc răng miệng đúng cách mỗi ngày, sẽ giúp bạn duy trì hàm răng sạch khỏe và tự tin hơn trong giao tiếp.

Bài viết Cao răng màu đen là gì? Nguyên nhân và cách xử lý cao răng màu đen đã xuất hiện đầu tiên vào ngày PlasmaKare.

]]>
https://plasmakare.vn/cao-rang-mau-den-18690/feed/ 0
Tham khảo bảng giá chi phí lấy cao răng cập nhật 2026 https://plasmakare.vn/chi-phi-lay-cao-rang-18687/ https://plasmakare.vn/chi-phi-lay-cao-rang-18687/#respond Wed, 25 Feb 2026 00:06:18 +0000 https://plasmakare.vn/?p=18687 Bài viết Tham khảo bảng giá chi phí lấy cao răng cập nhật 2026 đã xuất hiện đầu tiên vào ngày PlasmaKare.

Lấy cao răng là một bước chăm sóc răng miệng cơ bản nhưng rất quan trọng, giúp loại bỏ mảng bám tích tụ và phòng ngừa nhiều bệnh lý về nướu. Đây là dịch vụ được khuyến nghị thực hiện định kỳ để duy trì hàm răng khỏe mạnh, sạch sẽ. Bên cạnh hiệu quả […]

Bài viết Tham khảo bảng giá chi phí lấy cao răng cập nhật 2026 đã xuất hiện đầu tiên vào ngày PlasmaKare.

]]>
Bài viết Tham khảo bảng giá chi phí lấy cao răng cập nhật 2026 đã xuất hiện đầu tiên vào ngày PlasmaKare.

Lấy cao răng là một bước chăm sóc răng miệng cơ bản nhưng rất quan trọng, giúp loại bỏ mảng bám tích tụ và phòng ngừa nhiều bệnh lý về nướu. Đây là dịch vụ được khuyến nghị thực hiện định kỳ để duy trì hàm răng khỏe mạnh, sạch sẽ.

Bên cạnh hiệu quả mang lại, điều nhiều người quan tâm là mức giá thực hiện hiện nay ra sao và có phù hợp với ngân sách cá nhân hay không. Nội dung dưới đây sẽ cập nhật bảng giá mới nhất năm 2026 và những thông tin cần biết trước khi lựa chọn dịch vụ.

Lấy cao răng là gì? Khi nào nên thực hiện?

Lấy cao răng là gì?

Lấy cao răng (còn gọi là cạo vôi răng) là thủ thuật nha khoa nhằm loại bỏ các mảng bám đã bị khoáng hóa bám chặt trên bề mặt răng và dưới nướu. Những mảng cứng này hình thành từ thức ăn thừa và vi khuẩn tích tụ lâu ngày, không thể làm sạch hoàn toàn bằng cách chải răng thông thường.

Hiện nay, đa số phòng khám sử dụng máy siêu âm để làm bong cao răng một cách nhẹ nhàng, hạn chế ê buốt và không làm tổn hại men răng khi thực hiện đúng kỹ thuật.

Tham khảo bảng giá chi phí lấy cao răng cập nhật 2026
Lấy cao răng (còn gọi là cạo vôi răng)

Khi nào nên lấy cao răng?

Bạn nên thực hiện lấy cao răng khi có các dấu hiệu sau:

  • Nướu dễ chảy máu khi đánh răng
  • Hơi thở có mùi dù đã vệ sinh kỹ
  • Răng xuất hiện mảng ố vàng hoặc nâu ở cổ răng
  • Cảm giác cộm khi dùng lưỡi chạm vào mặt trong răng

Ngay cả khi không có biểu hiện rõ ràng, nha sĩ vẫn khuyến nghị nên lấy cao răng định kỳ mỗi 3–6 tháng/lần. Việc này giúp phòng ngừa viêm nướu, viêm nha chu và giữ cho răng luôn sạch khỏe lâu dài.

Lấy cao răng hết bao nhiêu tiền? Bảng giá tham khảo 2026

Năm 2026, mức giá lấy cao răng trên thị trường dao động khoảng 200.000 – 1.000.000 đồng cho 2 hàm, tùy vào tình trạng răng miệng, cơ sở thực hiện và các dịch vụ đi kèm. Sự chênh lệch này chủ yếu phụ thuộc vào mức độ cao răng nhiều hay ít, có bám dưới nướu hay không và bạn có lựa chọn thêm các bước chăm sóc bổ sung.

Tham khảo bảng giá chi phí lấy cao răng cập nhật 2026
Khuyến nghị nên lấy cao răng định kỳ mỗi 3–6 tháng/lần.

Dưới đây là bảng giá tham khảo chi tiết.

Bảng giá tham khảo lấy cao răng theo mức độ

Chi phí thường được phân theo 3 mức độ:

Mức độ cao răng Đặc điểm Chi phí (VNĐ)
Mức độ 1 (Nhẹ) Cao răng mỏng, bám nhẹ trên bề mặt răng 200.000 – 400.000
Mức độ 2 (Trung bình) Cao răng dày hơn, bám ở nhiều vị trí 400.000 – 700.000
Mức độ 3 (Nặng) Cao răng dày, cứng, bám sâu dưới nướu 700.000 – 1.000.000

Ở mức độ nhẹ, quá trình thực hiện nhanh và ít phức tạp nên chi phí thấp hơn. Với tình trạng cao răng lâu năm, bám sâu dưới nướu, bác sĩ cần xử lý kỹ hơn nên giá sẽ cao hơn.

Bảng giá tham khảo lấy cao răng và các dịch vụ đi kèm

Nhiều phòng khám hiện cung cấp các gói kết hợp để tăng hiệu quả làm sạch và bảo vệ men răng. Giá combo thường tiết kiệm hơn so với làm từng dịch vụ riêng lẻ.

Dịch vụ Chi phí (VNĐ)
Lấy cao răng 200.000 – 700.000
Lấy cao răng + đánh bóng 400.000 – 700.000
Lấy cao răng + đánh bóng + thổi cát + bôi fluoride 700.000 – 1.000.000

Tùy nhu cầu và tình trạng răng miệng, bạn có thể lựa chọn gói phù hợp để tối ưu chi phí mà vẫn đảm bảo hiệu quả chăm sóc răng lâu dài.

Các yếu tố ảnh hưởng đến giá lấy cao răng

Chi phí thực tế có thể chênh lệch giữa các trường hợp. Dưới đây là 3 yếu tố chính quyết định mức giá bạn cần chi trả:

Mức độ cao răng

Tình trạng cao răng nhiều hay ít ảnh hưởng trực tiếp đến thời gian và kỹ thuật xử lý.

  • Cao răng ít, bám nhẹ: Thời gian thực hiện nhanh, thao tác đơn giản nên chi phí thấp hơn.
  • Cao răng dày, bám sâu dưới nướu: Cần làm sạch kỹ hơn, thậm chí kết hợp xử lý viêm nướu nên mức giá sẽ cao hơn.

Những trường hợp cao răng lâu năm thường đòi hỏi thao tác tỉ mỉ để tránh tổn thương mô nướu.

Nha khoa và công nghệ thực hiện

Mỗi cơ sở nha khoa có mức giá khác nhau tùy theo:

  • Trang thiết bị và công nghệ sử dụng (máy siêu âm, thổi cát hiện đại…)
  • Tay nghề và kinh nghiệm của bác sĩ
  • Quy trình vô trùng và chất lượng dịch vụ

Những phòng khám đầu tư máy móc hiện đại và đội ngũ chuyên môn cao thường có chi phí cao hơn, đổi lại là trải nghiệm nhẹ nhàng và an toàn hơn.

Tham khảo bảng giá chi phí lấy cao răng cập nhật 2026
Mỗi cơ sở nha khoa có mức giá khác nhau.

Dịch vụ đi kèm

Sau khi làm sạch cao răng, một số nha khoa cung cấp thêm các bước như:

  • Đánh bóng răng
  • Thổi cát làm sạch mảng bám màu
  • Bôi fluor bảo vệ men răng
  • Hướng dẫn và vệ sinh răng miệng chuyên sâu

Các dịch vụ này có thể được tính riêng hoặc gộp thành gói, làm tổng chi phí thay đổi tùy theo lựa chọn của bạn.

Vì vậy, để biết chính xác mức giá phù hợp với tình trạng của mình, bạn nên đến nha khoa thăm khám trực tiếp. Bác sĩ sẽ kiểm tra mức độ cao răng và tư vấn chi phí cụ thể trước khi thực hiện.

Có nên lấy cao răng giá rẻ không?

Hiện nay, nhiều nơi quảng cáo dịch vụ với mức giá chỉ từ 100.000 VNĐ/lần. Tuy nhiên, mức giá quá thấp có thể đi kèm những rủi ro tiềm ẩn nếu cơ sở không đảm bảo chuyên môn và quy trình an toàn.

  • Những nguy cơ có thể gặp phải: Dễ gặp biến chứng sau khi thực hiện: Nếu bác sĩ tay nghề kém hoặc thao tác sai kỹ thuật, người làm có thể bị ê buốt kéo dài, chảy máu chân răng nhiều hoặc tổn thương nướu.
  • Không bao gồm bước đánh bóng răng: Một số nơi chỉ thực hiện cạo vôi cơ bản mà không đánh bóng bề mặt răng. Điều này khiến răng dễ bám mảng trở lại nhanh hơn, dù chi phí ban đầu thấp.
  • Nguy cơ lây nhiễm chéo: Dụng cụ không được vô trùng đúng quy trình có thể làm tăng nguy cơ lây nhiễm chéo và phát sinh các bệnh lý răng miệng khác.

Lấy cao răng là thủ thuật đơn giản nhưng đóng vai trò quan trọng trong việc duy trì răng miệng khỏe mạnh và phòng ngừa các bệnh lý về nướu. Mức chi phí năm 2026 có thể dao động tùy theo tình trạng cao răng, cơ sở thực hiện và các dịch vụ đi kèm, vì vậy bạn nên thăm khám trực tiếp để được tư vấn cụ thể.

Thay vì chỉ quan tâm đến giá rẻ, hãy ưu tiên lựa chọn nha khoa uy tín, đảm bảo an toàn và thực hiện đúng kỹ thuật. Đầu tư đúng ngay từ đầu sẽ giúp bạn bảo vệ hàm răng lâu dài và hạn chế phát sinh chi phí điều trị về sau.

Bài viết Tham khảo bảng giá chi phí lấy cao răng cập nhật 2026 đã xuất hiện đầu tiên vào ngày PlasmaKare.

]]>
https://plasmakare.vn/chi-phi-lay-cao-rang-18687/feed/ 0
[Chương Trình] Lì Xì Đầu Xuân – Nhận Ngàn May Mắn Tết Bính Ngọ 2026 https://plasmakare.vn/li-xi-dau-xuan-18683/ https://plasmakare.vn/li-xi-dau-xuan-18683/#respond Mon, 23 Feb 2026 01:14:53 +0000 https://plasmakare.vn/?p=18683 Bài viết [Chương Trình] Lì Xì Đầu Xuân – Nhận Ngàn May Mắn Tết Bính Ngọ 2026 đã xuất hiện đầu tiên vào ngày PlasmaKare.

Kính gửi Quý khách hàng, Quý Nhà thuốc và Phòng khám, Nhằm khai xuân rộn ràng và gửi lời tri ân sâu sắc nhất, Plasmakare triển khai chương trình ưu đãi đặc biệt “Lì Xì Đầu Xuân” dành cho tất cả khách hàng trên toàn quốc. Đây là món quà may mắn thay cho lời […]

Bài viết [Chương Trình] Lì Xì Đầu Xuân – Nhận Ngàn May Mắn Tết Bính Ngọ 2026 đã xuất hiện đầu tiên vào ngày PlasmaKare.

]]>
Bài viết [Chương Trình] Lì Xì Đầu Xuân – Nhận Ngàn May Mắn Tết Bính Ngọ 2026 đã xuất hiện đầu tiên vào ngày PlasmaKare.

lì xì đầu xuân

Kính gửi Quý khách hàng, Quý Nhà thuốc và Phòng khám,

Nhằm khai xuân rộn ràng và gửi lời tri ân sâu sắc nhất, Plasmakare triển khai chương trình ưu đãi đặc biệt “Lì Xì Đầu Xuân” dành cho tất cả khách hàng trên toàn quốc. Đây là món quà may mắn thay cho lời chúc một năm mới Thịnh Vượng và An Khang.

1. Thông tin chương trình

  • Thời gian áp dụng: Từ ngày 23/02/2026 đến hết ngày 05/03/2026.
  • Đối tượng: Tất cả khách hàng (Nhà thuốc, Phòng khám và Khách hàng lẻ) trên toàn quốc.
  • Điều kiện áp dụng:
    • Áp dụng cho đơn hàng đầu tiên phát sinh trong thời gian diễn ra chương trình.
    • Thanh toán ngay trong vòng 24 giờ kể từ khi nhận được hàng.
    • Chương trình được áp dụng đồng thời với các chính sách chiết khấu hiện hành.

2. Cơ cấu quà tặng Lì Xì

Dành cho Hệ thống Nhà thuốc & Phòng khám

Giá trị đơn hàng (VNĐ) Mức Lì Xì tặng ngay
Từ 2,000,000 đến dưới 4,000,000 100,000 VNĐ
Từ 4,000,000 đến dưới 5,000,000 200,000 VNĐ
Từ 5,000,000 đến dưới 10,000,000 400,000 VNĐ
Từ 10,000,000 trở lên 900,000 VNĐ

Dành cho Khách hàng lẻ

  • Đơn hàng từ 500,000 VNĐ: Miễn phí vận chuyển + Lì xì ngay 30,000 VNĐ.
  • Đơn hàng từ 1,000,000 VNĐ: Miễn phí vận chuyển + Lì xì ngay 90,000 VNĐ.

3. Lưu ý chung

  • Quà tặng lì xì sẽ được trừ trực tiếp vào hóa đơn hoặc quy đổi theo chính sách của công ty tại thời điểm đặt hàng.
  • Số lượng ưu đãi có hạn, chương trình có thể kết thúc sớm hơn dự kiến nếu hết ngân sách quà tặng.

Chúng tôi xin Kính chúc Quý khách một năm mới Vạn Sự Như Ý!

Bài viết [Chương Trình] Lì Xì Đầu Xuân – Nhận Ngàn May Mắn Tết Bính Ngọ 2026 đã xuất hiện đầu tiên vào ngày PlasmaKare.

]]>
https://plasmakare.vn/li-xi-dau-xuan-18683/feed/ 0
THÔNG BÁO: Điều chỉnh chính sách giá bán các sản phẩm Plasmakare https://plasmakare.vn/thong-bao-dieu-chinh-gia-18613/ https://plasmakare.vn/thong-bao-dieu-chinh-gia-18613/#respond Sat, 31 Jan 2026 01:58:30 +0000 https://plasmakare.vn/?p=18613 Bài viết THÔNG BÁO: Điều chỉnh chính sách giá bán các sản phẩm Plasmakare đã xuất hiện đầu tiên vào ngày PlasmaKare.

Kính gửi: Quý khách hàng và Đối tác, Lời đầu tiên, nhãn hàng PlasmaKare xin gửi lời cảm ơn chân thành tới Quý khách hàng đã luôn tin tưởng và đồng hành cùng chúng tôi trong hành trình chăm sóc sức khỏe cộng đồng bằng những giải pháp công nghệ Plasma tiên tiến. Với sứ […]

Bài viết THÔNG BÁO: Điều chỉnh chính sách giá bán các sản phẩm Plasmakare đã xuất hiện đầu tiên vào ngày PlasmaKare.

]]>
Bài viết THÔNG BÁO: Điều chỉnh chính sách giá bán các sản phẩm Plasmakare đã xuất hiện đầu tiên vào ngày PlasmaKare.

plasmakere

Kính gửi: Quý khách hàng và Đối tác,

Lời đầu tiên, nhãn hàng PlasmaKare xin gửi lời cảm ơn chân thành tới Quý khách hàng đã luôn tin tưởng và đồng hành cùng chúng tôi trong hành trình chăm sóc sức khỏe cộng đồng bằng những giải pháp công nghệ Plasma tiên tiến.

Với sứ mệnh mang lại những sản phẩm an toàn, hiệu quả và chất lượng cao nhất, PlasmaKare luôn nỗ lực tối ưu quy trình sản xuất và vận hành. Tuy vậy trước tình hình biến động không ngừng của thị trường nguyên liệu đầu vào và chi phí vận hành, chúng tôi xin thông báo về việc điều chỉnh giá bán lẻ đối với các dòng sản phẩm của nhãn hàng.

Việc điều chỉnh này là cần thiết để PlasmaKare có thể tiếp tục đầu tư vào nghiên cứu, kiểm soát chất lượng nghiêm ngặt và nâng cao trải nghiệm dịch vụ dành cho Quý khách.

Chi tiết thay đổi

  • Áp dụng từ ngày 01/02/2026.
  • Phạm vi áp dụng toàn bộ hệ thống cửa hàng, đại lý và kênh bán hàng trực tuyến.
  • Quý khách vui lòng xem chi tiết bảng giá mới cập nhật tại link:  Danh mục sản phẩm & Giá niêm yết mới

PlasmaKare hy vọng nhận được sự cảm thông và tiếp tục đồng hành từ Quý khách. chúng tôi cam kết sẽ không ngừng cải tiến, mang đến những giải pháp bảo vệ sức khỏe an toàn và hiệu quả nhất cho cộng đồng.

Kính chúc Quý khách hàng nhiều sức khỏe, hạnh phúc và thành công!

Trân trọng,

Bài viết THÔNG BÁO: Điều chỉnh chính sách giá bán các sản phẩm Plasmakare đã xuất hiện đầu tiên vào ngày PlasmaKare.

]]>
https://plasmakare.vn/thong-bao-dieu-chinh-gia-18613/feed/ 0
TOP 5 loại thuốc trị viêm da tiết bã ở mặt an toàn, hiệu quả nhất https://plasmakare.vn/thuoc-boi-viem-da-tiet-ba-18406/ https://plasmakare.vn/thuoc-boi-viem-da-tiet-ba-18406/#respond Sun, 18 Jan 2026 07:24:31 +0000 https://plasmakare.vn/?p=18406 Bài viết TOP 5 loại thuốc trị viêm da tiết bã ở mặt an toàn, hiệu quả nhất đã xuất hiện đầu tiên vào ngày PlasmaKare.

Viêm da tiết bã là bệnh da liễu mạn tính phổ biến, thường gặp ở các vùng da nhiều dầu như da đầu, mặt, cánh mũi, chân mày và sau tai. Bệnh gây đỏ da, bong vảy, ngứa ngáy, ảnh hưởng đến thẩm mỹ và sinh hoạt hằng ngày. Bài viết sau sẽ tổng hợp […]

Bài viết TOP 5 loại thuốc trị viêm da tiết bã ở mặt an toàn, hiệu quả nhất đã xuất hiện đầu tiên vào ngày PlasmaKare.

]]>
Bài viết TOP 5 loại thuốc trị viêm da tiết bã ở mặt an toàn, hiệu quả nhất đã xuất hiện đầu tiên vào ngày PlasmaKare.

Viêm da tiết bã là bệnh da liễu mạn tính phổ biến, thường gặp ở các vùng da nhiều dầu như da đầu, mặt, cánh mũi, chân mày và sau tai. Bệnh gây đỏ da, bong vảy, ngứa ngáy, ảnh hưởng đến thẩm mỹ và sinh hoạt hằng ngày. Bài viết sau sẽ tổng hợp các loại thuốc bôi viêm da tiết bã hiệu quả, dễ sử dụng và được khuyến nghị hiện nay.

Viêm da tiết bã là gì?

Viêm da tiết bã (còn gọi là viêm da dầu, chàm da mỡ) là một bệnh da liễu mạn tính, khá phổ biến, đặc trưng bởi tình trạng da đỏ, bong tróc vảy khô hoặc vảy nhờn. Bệnh thường xuất hiện ở những vùng da tiết nhiều dầu như da đầu, mặt (nếp mũi – má, trán, chân mày), ngực, lưng và sau tai.

Viêm da tiết bã không lây nhiễm, có xu hướng tái phát theo từng đợt nhưng hoàn toàn có thể kiểm soát nếu điều trị đúng cách, kết hợp chăm sóc da và điều chỉnh lối sống phù hợp.

Viêm da tiết bã bôi gì? 5 loại thuốc bôi viêm da tiết bã an toàn, hiệu quả nhất
Viêm da tiết bã (còn gọi là viêm da dầu, chàm da mỡ) là một bệnh da liễu mạn tính.

Tông hợp 5 loại thuốc bôi viêm da tiết bã an toàn, hiệu quả nhất

Dưới đây là những loại thuốc bôi trị viêm da tiết bã ở mặt thường được bác sĩ da liễu khuyên dùng. Mỗi thuốc có cơ chế và phạm vi sử dụng khác nhau, cần dùng đúng chỉ định để đảm bảo hiệu quả và an toàn cho da.

Kem trị viêm da tiết bã PlasmaKare No5

PlasmaKare No5 là kem bôi da đa năng, được ứng dụng công nghệ Nano bạc trong hỗ trợ điều trị các vấn đề viêm nhiễm ngoài da, trong đó có viêm da tiết bã. Sản phẩm phù hợp sử dụng cho vùng da mặt và các vùng da nhạy cảm, cần chăm sóc và phục hồi nhẹ nhàng.

PlasmaKare No5 giúp kháng khuẩn, chống viêm, hỗ trợ giảm nhanh các triệu chứng thường gặp của viêm da tiết bã như ngứa, phù nề, dát đỏ và kích ứng da. Đồng thời, sản phẩm còn có tác dụng làm dịu vùng da tổn thương, cấp ẩm nhẹ, hỗ trợ nuôi dưỡng tế bào da mới và thúc đẩy quá trình phục hồi, giúp vùng da viêm nhanh ổn định và khỏe hơn khi sử dụng đều đặn.

Viêm da tiết bã bôi gì? 5 loại thuốc bôi viêm da tiết bã an toàn, hiệu quả nhất
Kem trị viêm da tiết bã PlasmaKare No5

Kem bôi Ketoconazole

Ketoconazole là thuốc kháng nấm phổ biến trong điều trị viêm da tiết bã, giúp ức chế sự phát triển của nấm Malassezia – nguyên nhân chính gây bệnh. Thuốc có tác dụng giảm bong tróc, đỏ da và ngứa, phù hợp với các trường hợp viêm da tiết bã nhẹ đến trung bình ở mặt. Thường dùng 1–2 lần/ngày theo hướng dẫn y tế.

Kem bôi Hydrocortisone 1%

Hydrocortisone 1% thuộc nhóm corticoid nhẹ, có tác dụng giảm viêm, giảm đỏ và ngứa nhanh chóng. Thuốc thường được chỉ định khi viêm da tiết bã bùng phát mạnh, da đỏ rát rõ rệt. Tuy nhiên, chỉ nên sử dụng trong thời gian ngắn và tránh lạm dụng, đặc biệt ở vùng da mặt.

Viêm da tiết bã bôi gì? 5 loại thuốc bôi viêm da tiết bã an toàn, hiệu quả nhất
Kem bôi Hydrocortisone 1%

Desonide 0,05%

Desonide là corticoid nồng độ thấp, giúp giảm phản ứng viêm, sưng đỏ và ngứa trên da. Thuốc thường được sử dụng cho viêm da tiết bã ở mặt hoặc vùng da nhạy cảm, với thời gian điều trị ngắn ngày để tránh tác dụng phụ như mỏng da.

Viêm da tiết bã bôi gì? 5 loại thuốc bôi viêm da tiết bã an toàn, hiệu quả nhất
Desonide 0,05%

Kem bôi viêm da tiết bã Nizoral 2%

Nizoral 2% là thuốc bôi ngoài da chứa hoạt chất kháng nấm thuộc nhóm Imidazol, thường được bác sĩ da liễu chỉ định trong điều trị viêm da tiết bã có liên quan đến nấm.
Kem Nizoral 2% có tác dụng ức chế sự phát triển của nấm Malassezia furfur, từ đó giúp cải thiện các triệu chứng viêm da tiết bã nhờn như bong vảy, đỏ da và ngứa. Thuốc được sử dụng trong điều trị tại chỗ các bệnh nhiễm nấm ngoài da và viêm da tiết bã có yếu tố nấm.

Viêm da tiết bã bôi gì? 5 loại thuốc bôi viêm da tiết bã an toàn, hiệu quả nhất
Kem bôi viêm da tiết bã Nizoral 2%

Tham khảo thêm :

Những lưu ý khi điều trị viêm da tiết bã

Trong quá trình chăm sóc và sử dụng thuốc bôi trị viêm da tiết bã , người bệnh cần tuân thủ một số nguyên tắc quan trọng dưới đây để bảo vệ làn da và hạn chế tái phát:

  • Tuân theo hướng dẫn của bác sĩ: Sử dụng thuốc đúng liều, đúng thời gian được chỉ định. Không tự ý ngưng thuốc giữa chừng hoặc dùng quá liều vì có thể gây kháng thuốc và tăng nguy cơ tác dụng phụ, đặc biệt với corticoid.
  • Theo dõi phản ứng của da: Nếu trong quá trình điều trị xuất hiện dấu hiệu bất thường như da đỏ rát nhiều hơn, sưng viêm nặng, bong tróc lan rộng hoặc kích ứng kéo dài, cần ngừng thuốc và liên hệ bác sĩ da liễu để được tư vấn kịp thời.
  • Chú ý chế độ ăn uống: Hạn chế đồ ăn nhanh, thực phẩm chế biến sẵn, nhiều đường, nhiều muối hoặc chất kích thích vì có thể làm tình trạng viêm da nặng hơn. Ưu tiên chế độ ăn lành mạnh, giàu rau xanh và vitamin.
  • Bảo vệ da khi ra ngoài: Thoa kem chống nắng hằng ngày, kể cả khi trời râm. Nên chọn kem chống nắng dịu nhẹ, không gây kích ứng, phù hợp với da nhạy cảm hoặc da đang viêm.
  • Chăm sóc da nhẹ nhàng: Làm sạch da sau khi ra ngoài bằng sữa rửa mặt dịu nhẹ, tránh chà xát mạnh và không dùng sản phẩm chứa cồn, hương liệu hoặc chất tẩy rửa mạnh.
  • Dưỡng ẩm đầy đủ: Dưỡng ẩm là bước quan trọng giúp phục hồi hàng rào bảo vệ da, giảm bong tróc và khô rát. Nên chọn sản phẩm lành tính, không gây bít tắc lỗ chân lông.
  • Duy trì lối sống khoa học: Ngủ đủ giấc, hạn chế căng thẳng, tập thể dục đều đặn giúp tăng sức đề kháng và hỗ trợ kiểm soát viêm da tiết bã tốt hơn.
  • Tránh gãi hoặc sờ tay lên vùng da viêm: Gãi mạnh hoặc chạm tay thường xuyên có thể làm tổn thương da và tăng nguy cơ nhiễm trùng.
  • Khám bác sĩ khi cần thiết: Nếu viêm da tiết bã kéo dài, tái phát nhiều lần hoặc có biểu hiện bất thường, nên đến cơ sở y tế da liễu để được chẩn đoán và kê đơn điều trị phù hợp, đảm bảo an toàn và tính thẩm mỹ lâu dài.

Hy vọng bài viết sẽ giúp bạn hiểu rõ hơn về cách lựa chọn sản phẩm phù hợp, sử dụng đúng cách để giảm nhanh triệu chứng và hạn chế tái phát. Nếu tình trạng viêm da không cải thiện hoặc có dấu hiệu nặng hơn, bạn nên chủ động thăm khám chuyên khoa da liễu để được tư vấn và điều trị kịp thời.

Bài viết TOP 5 loại thuốc trị viêm da tiết bã ở mặt an toàn, hiệu quả nhất đã xuất hiện đầu tiên vào ngày PlasmaKare.

]]>
https://plasmakare.vn/thuoc-boi-viem-da-tiet-ba-18406/feed/ 0
6 cách phòng bệnh tay chân miệng hiệu quả, cha mẹ cần biết https://plasmakare.vn/cach-phong-benh-tay-chan-mieng-18537/ https://plasmakare.vn/cach-phong-benh-tay-chan-mieng-18537/#respond Sat, 17 Jan 2026 02:58:07 +0000 https://plasmakare.vn/?p=18537 Bài viết 6 cách phòng bệnh tay chân miệng hiệu quả, cha mẹ cần biết đã xuất hiện đầu tiên vào ngày PlasmaKare.

Tay chân miệng là bệnh truyền nhiễm dễ lây lan, thường bùng phát mạnh vào những thời điểm giao mùa và đặc biệt phổ biến ở trẻ nhỏ. Do bệnh chưa có vắc-xin phòng ngừa đặc hiệu, việc chủ động áp dụng các cách phòng bệnh tay chân miệng đúng cách là biện pháp hiệu […]

Bài viết 6 cách phòng bệnh tay chân miệng hiệu quả, cha mẹ cần biết đã xuất hiện đầu tiên vào ngày PlasmaKare.

]]>
Bài viết 6 cách phòng bệnh tay chân miệng hiệu quả, cha mẹ cần biết đã xuất hiện đầu tiên vào ngày PlasmaKare.

Tay chân miệng là bệnh truyền nhiễm dễ lây lan, thường bùng phát mạnh vào những thời điểm giao mùa và đặc biệt phổ biến ở trẻ nhỏ. Do bệnh chưa có vắc-xin phòng ngừa đặc hiệu, việc chủ động áp dụng các cách phòng bệnh tay chân miệng đúng cách là biện pháp hiệu quả nhất để bảo vệ sức khỏe cho trẻ và ngăn ngừa dịch lây lan trong cộng đồng. Bài viết dưới đây sẽ tổng hợp những cách phòng bệnh tay chân miệng hiệu quả mà cha mẹ cần biết và thực hiện hằng ngày.

Vì sao cần phòng bệnh tay chân miệng sớm cho trẻ?

Tay chân miệng là bệnh truyền nhiễm do virus đường ruột gây ra, có khả năng lây lan rất nhanh qua tiếp xúc trực tiếp, đường tiêu hóa và các bề mặt nhiễm bẩn. Trẻ nhỏ, đặc biệt là trẻ dưới 5 tuổi, là đối tượng dễ mắc bệnh do hệ miễn dịch chưa hoàn thiện và thường xuyên sinh hoạt trong môi trường tập thể như nhà trẻ, trường mẫu giáo.

Mặc dù phần lớn các trường hợp tay chân miệng có diễn tiến nhẹ và có thể tự khỏi, nhưng nếu không được phát hiện và xử lý kịp thời, bệnh vẫn có nguy cơ gây ra những biến chứng nguy hiểm như viêm não, viêm màng não, phù phổi cấp. Do đó, việc chủ động thực hiện các cách phòng bệnh tay chân miệng ngay từ sớm không chỉ giúp giảm nguy cơ mắc bệnh cho trẻ mà còn góp phần hạn chế sự lây lan trong gia đình và cộng đồng.

Việc phòng bệnh tay chân miệng cần được thực hiện đều đặn, liên tục và đồng bộ, không chỉ khi có dịch mà cả trong sinh hoạt hằng ngày. Đây chính là nền tảng quan trọng để bảo vệ sức khỏe lâu dài cho trẻ.

6 cách phòng bệnh tay chân miệng hiệu quả, cha mẹ cần biết
Việc phòng bệnh tay chân miệng cần được thực hiện đều đặn, liên tục và đồng bộ.

Các con đường lây nhiễm bệnh tay chân miệng cần biết

Để phòng bệnh tay chân miệng hiệu quả, cha mẹ cần hiểu rõ những con đường lây nhiễm phổ biến của bệnh. Tay chân miệng do virus đường ruột gây ra và có thể lây lan nhanh theo nhiều cách khác nhau, đặc biệt trong môi trường sinh hoạt tập thể của trẻ.

  • Lây qua đường tiêu hóa: Virus có trong phân của người bệnh. Nếu trẻ chạm tay vào bề mặt nhiễm bẩn rồi đưa tay lên miệng mà không rửa tay sạch, nguy cơ nhiễm bệnh rất cao.
  • Lây qua tiếp xúc trực tiếp: Tiếp xúc với nước bọt, dịch mũi họng, dịch từ mụn nước của người bệnh thông qua ôm, hôn, dùng chung đồ dùng cá nhân.
  • Lây qua giọt bắn đường hô hấp: Virus có thể phát tán khi người bệnh ho, hắt hơi hoặc nói chuyện ở khoảng cách gần.
  • Lây qua đồ dùng và môi trường nhiễm bẩn: Đồ chơi, tay nắm cửa, bàn ghế, sàn nhà… nếu không được vệ sinh thường xuyên có thể trở thành nguồn lây bệnh.

Những cách phòng bệnh tay chân miệng ở trẻ em

1. Giữ vệ sinh cá nhân

Giữ vệ sinh cá nhân là cách phòng bệnh tay chân miệng quan trọng hàng đầu, đặc biệt với trẻ nhỏ – đối tượng thường xuyên tiếp xúc với đồ chơi, bề mặt xung quanh và có thói quen đưa tay lên miệng. Đây chính là con đường thuận lợi để virus xâm nhập vào cơ thể.

Cha mẹ cần hướng dẫn và tập cho trẻ rửa tay thường xuyên bằng xà phòng dưới vòi nước chảy, nhất là trước khi ăn, sau khi đi vệ sinh, sau khi chơi đồ chơi và sau khi tiếp xúc với người nghi ngờ mắc bệnh. Ngoài ra, việc cắt ngắn móng tay, tắm rửa hằng ngày, thay quần áo sạch sẽ cũng giúp hạn chế nguy cơ lây nhiễm.

Với trẻ còn nhỏ chưa tự ý thức được vệ sinh cá nhân, phụ huynh cần chủ động hỗ trợ và tạo môi trường sinh hoạt sạch sẽ, an toàn để phòng tránh bệnh tay chân miệng hiệu quả.

6 cách phòng bệnh tay chân miệng hiệu quả, cha mẹ cần biết
Giữ vệ sinh cá nhân là cách phòng bệnh tay chân miệng quan trọng hàng đầu.

2. Thực hiện tốt vệ sinh ăn uống

Vệ sinh ăn uống đóng vai trò quan trọng trong phòng ngừa bệnh tay chân miệng ở trẻ em. Cha mẹ nên cho trẻ ăn chín, uống sôi, hạn chế các thực phẩm chưa qua chế biến kỹ hoặc có nguy cơ nhiễm khuẩn.

Dụng cụ ăn uống như bát, thìa, cốc cần được rửa sạch và khử trùng thường xuyên, tuyệt đối không dùng chung đồ ăn, thức uống với người khác. Nguồn nước sinh hoạt cũng cần đảm bảo sạch sẽ, an toàn.

Bên cạnh đó, duy trì chế độ dinh dưỡng hợp lý, đầy đủ vitamin và khoáng chất giúp tăng cường sức đề kháng, hỗ trợ cơ thể trẻ chống lại virus gây bệnh.

3. Giữ vệ sinh môi trường sống

Môi trường sống sạch sẽ giúp giảm đáng kể nguy cơ lây nhiễm tay chân miệng. Cha mẹ nên thường xuyên lau dọn, khử khuẩn các bề mặt trẻ tiếp xúc hằng ngày như sàn nhà, bàn ghế, đồ chơi, tay nắm cửa bằng dung dịch phù hợp.

Không gian sinh hoạt của trẻ cần được giữ thoáng mát, khô ráo, tránh ẩm mốc – điều kiện thuận lợi cho vi khuẩn, virus phát triển. Rác thải sinh hoạt, đặc biệt là tã lót và khăn giấy đã sử dụng, cần được xử lý đúng cách để ngăn mầm bệnh lây lan.

6 cách phòng bệnh tay chân miệng hiệu quả, cha mẹ cần biết
Môi trường sống sạch sẽ giúp giảm đáng kể nguy cơ lây nhiễm tay chân miệng.

4. Không tiếp xúc gần với người bệnh

Hạn chế tiếp xúc gần với người mắc bệnh là biện pháp quan trọng để phòng lây tay chân miệng. Virus có thể lây qua nước bọt, dịch mũi họng, bọng nước hoặc phân của người bệnh.

Trẻ cần được nhắc nhở không dùng chung đồ dùng cá nhân như cốc uống nước, thìa, khăn mặt, đồ chơi. Nếu trong gia đình hoặc lớp học có người mắc bệnh, cần cách ly đúng thời gian, đồng thời tăng cường vệ sinh và khử khuẩn để hạn chế lây lan.

5. Giám sát và phát hiện sớm dấu hiệu bệnh

Việc theo dõi và phát hiện sớm các dấu hiệu tay chân miệng giúp ngăn bệnh diễn tiến nặng và hạn chế lây lan trong cộng đồng. Cha mẹ và người chăm sóc cần chú ý các biểu hiện như sốt, loét miệng, phát ban hoặc mụn nước ở tay, chân, mông, gối.

Nếu trẻ xuất hiện các dấu hiệu bất thường như sốt cao khó hạ, giật mình, lơ mơ, quấy khóc nhiều hoặc nôn ói, cần đưa trẻ đến cơ sở y tế ngay để được thăm khám kịp thời.

6 cách phòng bệnh tay chân miệng hiệu quả, cha mẹ cần biết
Việc theo dõi và phát hiện sớm các dấu hiệu tay chân miệng giúp ngăn bệnh diễn tiến nặng

6. Dinh dưỡng giúp tăng cường sức đề kháng

Bên cạnh các biện pháp vệ sinh, chế độ dinh dưỡng hợp lý giúp trẻ có hệ miễn dịch khỏe mạnh, từ đó giảm nguy cơ mắc tay chân miệng và rút ngắn thời gian hồi phục nếu nhiễm bệnh.

Cha mẹ nên bổ sung cho trẻ các thực phẩm giàu vitamin A, C, D, kẽm và protein từ rau xanh, trái cây, thịt, cá, trứng, sữa. Đồng thời, cho trẻ uống đủ nước mỗi ngày để hỗ trợ đào thải độc tố và duy trì thể trạng tốt.

Tay chân miệng là bệnh truyền nhiễm dễ lây lan nhưng hoàn toàn có thể phòng ngừa hiệu quả nếu cha mẹ chủ động thực hiện đúng và đầy đủ các biện pháp cần thiết. Từ việc giữ vệ sinh cá nhân, đảm bảo ăn uống an toàn, vệ sinh môi trường sống đến theo dõi sức khỏe và tăng cường sức đề kháng cho trẻ, mỗi thói quen nhỏ hằng ngày đều góp phần quan trọng trong việc bảo vệ trẻ trước nguy cơ mắc bệnh. Cha mẹ không nên chờ đến khi có dịch mới phòng bệnh, mà cần duy trì các biện pháp phòng ngừa tay chân miệng thường xuyên để giúp trẻ khỏe mạnh và an toàn lâu dài.

Bài viết 6 cách phòng bệnh tay chân miệng hiệu quả, cha mẹ cần biết đã xuất hiện đầu tiên vào ngày PlasmaKare.

]]>
https://plasmakare.vn/cach-phong-benh-tay-chan-mieng-18537/feed/ 0