Cao răng là vấn đề răng miệng phổ biến nhưng thường bị nhiều người chủ quan bỏ qua. Vậy cao răng là gì, vì sao cao răng hình thành và nguyên nhân gây cao răng xuất phát từ đâu? Thực tế, cao răng không chỉ ảnh hưởng đến thẩm mỹ mà còn là yếu tố dẫn đến hôi miệng, viêm nướu và nhiều bệnh lý nha khoa khác. Trong bài viết này, chúng tôi sẽ giúp bạn hiểu rõ nguyên nhân hình thành cao răng, các nguyên nhân bị cao răng thường gặp, đồng thời tìm hiểu chi tiết về phân độ cao răng để có hướng chăm sóc và phòng ngừa hiệu quả.
Mục lục
Cao răng là gì?
Cao răng (hay còn gọi là vôi răng) là những mảng bám đã bị vôi hóa, bám cứng trên bề mặt răng hoặc dưới nướu. Ban đầu, cao răng hình thành từ mảng bám thức ăn, vi khuẩn và nước bọt còn sót lại trên răng sau khi ăn uống. Nếu không được làm sạch đúng cách, các mảng bám này sẽ kết hợp với khoáng chất trong nước bọt và dần cứng lại theo thời gian, tạo thành cao răng.
Không giống như mảng bám mềm có thể loại bỏ bằng cách đánh răng thông thường, cao răng bám rất chắc, bề mặt sần sùi và chỉ có thể làm sạch bằng các dụng cụ nha khoa chuyên dụng. Cao răng thường có màu vàng nhạt, vàng nâu hoặc nâu sẫm, xuất hiện nhiều ở cổ răng, kẽ răng và vùng sát nướu.
Việc hiểu rõ cao răng là gì sẽ giúp bạn nhận thức được tầm quan trọng của vệ sinh răng miệng đúng cách và chủ động phòng ngừa các vấn đề như hôi miệng, viêm nướu hay viêm nha chu do cao răng gây ra.

Nguyên nhân hình thành cao răng
Cao răng hình thành chủ yếu do mảng bám trên răng không được làm sạch triệt để và tích tụ lâu ngày. Dưới đây là những nguyên nhân gây cao răng phổ biến:
- Vệ sinh răng miệng chưa đúng cách: Đánh răng không đủ số lần, chải răng sai kỹ thuật hoặc bỏ qua các vùng khó làm sạch như kẽ răng, cổ răng khiến mảng bám tích tụ. Đây là nguyên nhân bị cao răng thường gặp nhất.
- Không làm sạch kẽ răng: Việc không sử dụng chỉ nha khoa hoặc máy tăm nước khiến thức ăn và vi khuẩn tồn đọng trong kẽ răng, tạo điều kiện cho cao răng hình thành.
- Chế độ ăn uống nhiều đường và tinh bột: Thường xuyên ăn đồ ngọt, tinh bột, nước uống có gas làm tăng mảng bám vi khuẩn trong khoang miệng. Đây cũng là nguyên nhân cao răng phổ biến hiện nay.
- Thói quen hút thuốc lá: Khói thuốc làm tăng khả năng bám dính mảng bám trên răng, khiến cao răng hình thành nhanh và có màu sậm hơn.
- Yếu tố nước bọt và cơ địa: Một số người có nước bọt chứa nhiều khoáng chất hoặc cơ địa dễ tích tụ mảng bám, làm cao răng hình thành nhanh hơn dù đã vệ sinh răng miệng tương đối tốt.
- Không lấy cao răng định kỳ: Việc không thăm khám nha khoa và lấy cao răng định kỳ khiến mảng bám lâu ngày bị vôi hóa, trở thành cao răng cứng đầu và khó loại bỏ.

Phân loại và phân độ cao răng
Phân loại cao răng
Dựa vào vị trí và đặc điểm, cao răng được chia thành 2 loại chính:
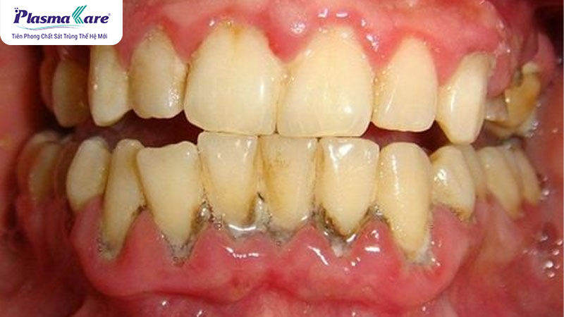
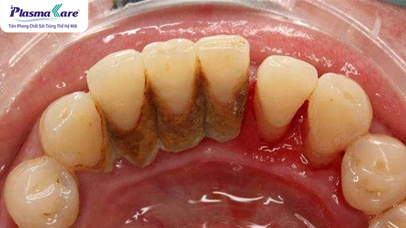
- Cao răng thường: Cao răng thường xuất hiện ở cổ răng, có màu trắng đục hoặc vàng nhạt. Ở người hút thuốc lá, cao răng có thể sẫm màu hơn. Loại cao răng này dễ gây viêm nướu, nếu không được loại bỏ kịp thời có thể dẫn đến chảy máu chân răng. Khi máu thấm vào lớp cao răng, chúng có thể chuyển thành cao răng huyết thanh.
- Cao răng huyết thanh: Cao răng huyết thanh thường nằm dưới nướu, có màu đỏ nâu hoặc nâu đen. So với cao răng thường, loại này chứa nhiều vi khuẩn hơn, dễ gây viêm nướu nặng và làm tăng nguy cơ nhiễm khuẩn chân răng, viêm nha chu.
Phân độ cao răng
Dựa theo mức độ tích tụ và ảnh hưởng đến răng nướu, cao răng được chia thành 4 cấp độ:
- Cao răng cấp độ 1: Là giai đoạn cao răng mới hình thành. Mảng cao răng còn mỏng, màu nhạt, có thể thấy ánh trắng nhẹ ở đường viền nướu. Dù có thể giảm bớt bằng cách chải răng đều đặn, nhưng không thể loại bỏ hoàn toàn nếu không can thiệp nha khoa.
- Cao răng cấp độ 2: Cao răng dày và cứng hơn cấp độ 1, tuy màu sắc vẫn còn khá nhạt. Ở giai đoạn này, cao răng đã bám chặt vào răng và cần dùng dụng cụ cạo vôi răng chuyên dụng mới làm sạch được.
- Cao răng cấp độ 3: Cao răng chuyển sang màu vàng sậm, dày và cứng, thường xuất hiện ở mặt trong răng, đôi khi ở mặt ngoài. Việc loại bỏ trở nên khó khăn hơn và dễ kèm theo viêm nướu, hôi miệng.
- Cao răng cấp độ 4: Đây là mức độ nặng nhất. Cao răng có màu nâu đen hoặc đen, bám sâu dưới nướu, tấn công chân răng và có thể lan xuống xương hàm. Giai đoạn này tiềm ẩn nhiều nguy cơ nghiêm trọng cho sức khỏe răng miệng, cần được điều trị sớm tại cơ sở nha khoa.

Tác hại của cao răng
Cao răng không thể loại bỏ hoàn toàn bằng cách chải răng hay dùng chỉ nha khoa thông thường. Khi cao răng tích tụ trên bề mặt răng và dọc viền nướu, chúng sẽ gây ra nhiều tác hại nghiêm trọng đối với sức khỏe răng miệng, cụ thể:
- Cao răng gây hôi miệng và sâu răng: Cao răng là môi trường lý tưởng cho vi khuẩn phát triển. Vi khuẩn phân hủy thức ăn thừa tạo ra mùi hôi và axit, làm tăng nguy cơ sâu răng và hôi miệng kéo dài.
- Viêm nướu: Cao răng tích tụ lâu ngày gây kích ứng và viêm nướu, biểu hiện bằng sưng đỏ, chảy máu chân răng khi chải răng hoặc ăn nhai.
- Tiến triển thành bệnh nha chu: Nếu không được loại bỏ kịp thời, viêm nướu có thể tiến triển thành viêm nha chu. Vi khuẩn tạo thành các túi nha chu giữa răng và nướu, làm tình trạng viêm ngày càng nặng hơn.
- Gây mất răng: Viêm nha chu làm tổn thương xương ổ răng và các mô nâng đỡ răng, khiến răng yếu dần, lung lay và có thể dẫn đến mất răng.
- Ảnh hưởng đến sức khỏe toàn thân: Các nghiên cứu cho thấy bệnh nha chu do cao răng có liên quan đến nguy cơ mắc bệnh tim mạch và một số vấn đề sức khỏe khác.
Cách ngăn ngừa cao răng hình thành
Ngăn ngừa cao răng ngay từ đầu là cách hiệu quả nhất để phòng tránh sâu răng, viêm nướu và các bệnh lý nha khoa. Bạn có thể áp dụng các biện pháp sau:
- Đánh răng 2–3 lần/ngày: Sử dụng bàn chải lông mềm và kem đánh răng chứa fluor. Ưu tiên sản phẩm của thương hiệu uy tín để đảm bảo an toàn và hiệu quả.
- Dùng chỉ nha khoa hằng ngày: Làm sạch kẽ răng bằng chỉ nha khoa hoặc bàn chải kẽ răng (ít nhất 1–2 lần/ngày) để loại bỏ thức ăn và mảng bám mà bàn chải không chạm tới.
- Súc miệng kháng khuẩn: Dùng nước súc miệng không chứa cồn 1–2 lần/ngày giúp giảm vi khuẩn, hạn chế mảng bám và cao răng.
- Không hút thuốc lá: Hút thuốc làm tăng nguy cơ hình thành cao răng và khiến răng sẫm màu, khó làm sạch.
- Khám nha khoa định kỳ: Đến nha sĩ 2 lần/năm để kiểm tra và làm sạch răng chuyên nghiệp; nếu cao răng nhiều, có thể cần lấy cao răng thường xuyên hơn theo chỉ định.
- Duy trì chế độ ăn uống khoa học: Hạn chế thực phẩm nhiều đường, tinh bột; uống đủ nước; chải răng sau bữa ăn để giảm axit do vi khuẩn tạo ra.
- Chọn kem đánh răng kiểm soát cao răng: Ưu tiên kem chứa fluor giúp tái khoáng men răng; một số sản phẩm có hoạt chất kháng khuẩn (như triclosan) hỗ trợ giảm mảng bám.

Cao răng là vấn đề răng miệng phổ biến nhưng hoàn toàn có thể phòng ngừa và kiểm soát nếu được chăm sóc đúng cách. Việc hiểu rõ cao răng là gì, các nguyên nhân hình thành cao răng và mức độ tích tụ sẽ giúp bạn chủ động bảo vệ sức khỏe răng nướu. Kết hợp vệ sinh răng miệng khoa học tại nhà với thăm khám và lấy cao răng định kỳ là giải pháp hiệu quả nhất để duy trì hàm răng sạch khỏe, hạn chế hôi miệng và ngăn ngừa các bệnh lý nha khoa lâu dài.














