Cao răng là lớp mảng bám cứng hình thành theo thời gian mà nhiều người thường xem nhẹ vì không gây đau nhức tức thì. Tuy nhiên, chính sự tồn tại âm thầm này lại là khởi nguồn của hàng loạt vấn đề răng miệng nghiêm trọng như viêm nướu, viêm lợi, nha chu, tụt lợi và nguy cơ mất răng sớm.
Mục lục
Trước những ảnh hưởng khó lường đó, không ít người băn khoăn có nên lấy cao răng hay không, việc lấy cao răng có thực sự cần thiết và cần lưu ý điều gì để đảm bảo an toàn cho răng miệng? Nội dung dưới đây sẽ giúp bạn hiểu rõ và đưa ra quyết định đúng đắn.
Giải đáp: Có nên lấy cao răng không?
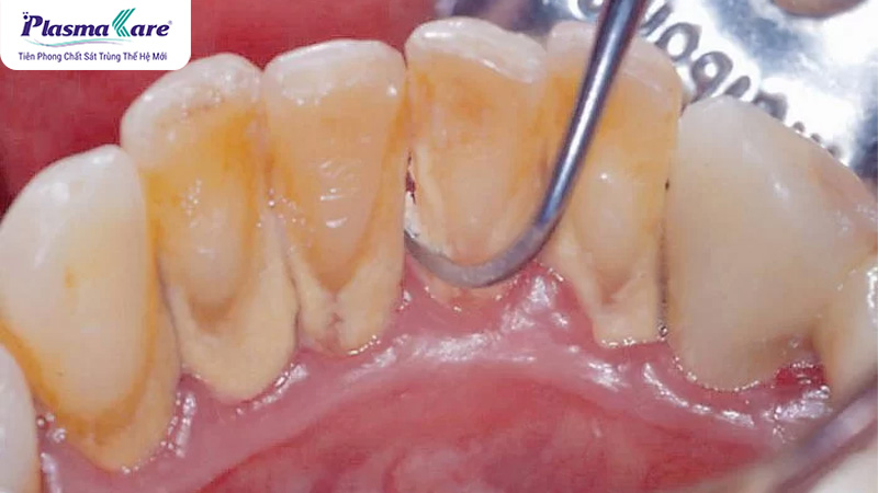
Câu trả lời là CÓ. Lấy cao răng là một thủ thuật nha khoa cần thiết và nên thực hiện định kỳ để bảo vệ sức khỏe răng miệng. Cao răng là mảng bám đã bị khoáng hóa, bám chặt vào bề mặt răng và dưới nướu, không thể loại bỏ hoàn toàn bằng việc đánh răng thông thường. Nếu không được làm sạch kịp thời, cao răng sẽ trở thành ổ vi khuẩn gây viêm nướu, viêm quanh răng và nhiều biến chứng nghiêm trọng khác.
Việc lấy cao răng không làm mòn men răng, không gây yếu răng nếu được thực hiện đúng kỹ thuật tại nha khoa uy tín. Ngược lại, đây là bước chăm sóc răng miệng nền tảng giúp phòng ngừa bệnh lý và duy trì hàm răng khỏe mạnh lâu dài.

Lợi ích khi lấy cao răng định kỳ
Lấy cao răng mang lại nhiều lợi ích rõ rệt cho sức khỏe răng miệng cũng như thẩm mỹ nụ cười, cụ thể:
- Ngăn ngừa viêm lợi, viêm quanh răng: Cao răng tích tụ lâu ngày gây kích ứng mô nướu, dẫn đến sưng đỏ, chảy máu chân răng và viêm nhiễm. Việc cạo vôi định kỳ giúp loại bỏ vi khuẩn gây hại, hạn chế nguy cơ tiến triển thành viêm nha chu – nguyên nhân hàng đầu gây tiêu xương và mất răng.
- Loại bỏ mùi hôi miệng, giúp hơi thở thơm tho: Vi khuẩn tồn tại trong cao răng là tác nhân chính gây mùi hôi miệng dai dẳng. Khi cao răng được làm sạch, khoang miệng trở nên thông thoáng hơn, giúp cải thiện hơi thở và tăng sự tự tin trong giao tiếp hằng ngày.
- Bảo vệ chân răng, ngăn ngừa tình trạng răng lung lay: Cao răng bám quanh cổ răng và dưới nướu có thể làm nướu tụt, lộ chân răng và làm giảm độ bám chắc của răng. Lấy cao răng đúng cách giúp duy trì mô quanh răng khỏe mạnh, từ đó hạn chế nguy cơ răng lung lay và rụng sớm.
- Tăng tính thẩm mỹ cho nụ cười: Cao răng thường có màu vàng nâu hoặc đen, khiến răng xỉn màu và kém sạch sẽ. Sau khi lấy cao răng và đánh bóng, bề mặt răng trở nên nhẵn mịn, sáng hơn, giúp nụ cười trông tươi tắn và tự nhiên hơn.
Vậy nên lấy cao răng định kỳ không chỉ cần thiết mà còn là yếu tố quan trọng giúp duy trì sức khỏe răng miệng toàn diện, ngăn ngừa bệnh lý và giữ cho hàm răng luôn sạch đẹp, chắc khỏe theo thời gian.

Lưu ý quan trọng khi lấy cao răng
Lấy cao răng là thủ thuật nha khoa đơn giản nhưng để đạt hiệu quả tốt và hạn chế cảm giác khó chịu, bạn cần chú ý một số điểm quan trọng trước, trong và sau khi thực hiện. Việc hiểu đúng và chuẩn bị đúng sẽ giúp quá trình lấy cao răng diễn ra an toàn, nhẹ nhàng và bảo vệ răng miệng lâu dài.
Trước khi lấy cao răng
Trước hết, bạn nên lựa chọn địa chỉ nha khoa uy tín, có trang thiết bị hiện đại và bác sĩ được đào tạo bài bản. Điều này giúp đảm bảo việc cạo vôi được thực hiện đúng kỹ thuật, không làm tổn thương men răng hay mô nướu. Ngoài ra, nếu bạn đang gặp các vấn đề như viêm nướu, chảy máu chân răng nhiều hoặc có tiền sử răng nhạy cảm, hãy trao đổi rõ với bác sĩ để được tư vấn phương pháp và tần suất lấy cao răng phù hợp.
Trong khi lấy cao răng
Trong quá trình thực hiện, bạn có thể cảm thấy ê buốt nhẹ, đặc biệt ở những vùng cao răng bám dày hoặc dưới nướu. Đây là phản ứng hoàn toàn bình thường, nhất là với người lâu ngày chưa lấy cao răng hoặc lần đầu thực hiện. Cảm giác này thường chỉ thoáng qua và sẽ giảm dần khi bác sĩ thao tác xong. Nếu thấy quá khó chịu, bạn có thể báo ngay để bác sĩ điều chỉnh lực và tốc độ máy siêu âm.

Sau khi lấy cao răng
Sau khi hoàn tất, răng và nướu có thể nhạy cảm hơn bình thường trong một thời gian ngắn. Để bảo vệ răng miệng, bạn nên lưu ý:
- Hạn chế ăn uống thực phẩm quá nóng hoặc quá lạnh ngay sau khi lấy cao răng để tránh ê buốt.
- Tránh các đồ ăn, thức uống có màu đậm như trà, cà phê, nước ngọt có màu trong 24–48 giờ đầu, vì lúc này bề mặt răng dễ bám màu hơn.
- Duy trì vệ sinh răng miệng đúng cách: chải răng nhẹ nhàng, dùng chỉ nha khoa để làm sạch kẽ răng và sử dụng nước súc miệng phù hợp theo hướng dẫn của nha sĩ.
Tuân thủ những lưu ý trên không chỉ giúp giảm cảm giác khó chịu sau khi lấy cao răng mà còn góp phần kéo dài hiệu quả làm sạch, giữ răng chắc khỏe và phòng ngừa các bệnh lý răng miệng về lâu dài.
Plasmakare hy vọng rằng qua những thông tin trên, bạn đã có câu trả lời rõ ràng cho thắc mắc “Có nên lấy cao răng không?” cũng như nắm được các lưu ý quan trọng trước, trong và sau khi thực hiện. Lấy cao răng định kỳ không chỉ giúp răng miệng sạch khỏe, hơi thở thơm mát mà còn là cách chủ động phòng ngừa các bệnh lý nha khoa nguy hiểm. Đừng quên thăm khám răng miệng đều đặn và lựa chọn cơ sở nha khoa uy tín để bảo vệ nụ cười và sức khỏe lâu dài của bạn.














